Voriges Präparat Index Nächstes Präparat   [a] [b] [c] [d] [e]
 

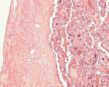
Präparat 85: Plazenta, H.-E.

[Bild]
Deziduaplatte

(Basalplatte) Die an Zellen und Interzellularsubstanz reiche Basalplatte grenzt den intervillösen Raum von der mütterlichen Dezidua ab und gliedert sich in mehrere, undeutlich voneinander abgrenzbare Schichten: Zum intervillösen Raum hin finden sich Reste von Synzytiotrophoblast, einer verschieden dicken Schicht aus Fibrinoid mit einzelnen Zytotrophoblastzellen. Dem schließt sich eine Schicht von unterschiedlich großen Zytotrophoblastzellen an, auffällig sind die sehr großen basophilen Zytotrophoblastzellen (X-Zellen) und die vielkernigen Trophoblastriesenzellen. Die Grenze zur Dezidua wird von einer nicht geschlossenen Lage Nitabuch-Fibrinoid gebildet, der sich dann die Deziduazellen anschließen. Von der Basalplatte aus ragen säulenartige, bizarr gestaltete Septae placentae in den intervillösen Raum, die histologisch der Basalplatte gleichen.

Dezidualzellen

Stromazellen des Endometriums, die sich während der Schwangerschaft vergrößern und Fett und Glykogen einlagern. Sie bleiben während der gesamten Schwangerschaft erhalten und sezernieren Prolaktin und Prostaglandin. Durch Hemmung der Lymphozytenproliferation und der Antikörperproduktion unterbinden sie eine Fruchtabstoßung.

Intervillöser Raum

Raum zwischen den Zotten (Zotte=Villus), der von der Chorionplatte und der Basalplatte begrenzt wird und in dem die Zotten vom mütterlichen Blut umspült werden.

Synzytiotrophoblast

Bestandteil der Endzotten, dem eine besondere Bedeutung für den Stoffaustausch zwischen Mutter und Kind zukommt. Der Synzytiotrophoblast überzieht die Zotten, ist ein Synzytium und entwickelt sich aus dem unterliegenden Zytotrophoblasten.

Nitabuchsche Fibrinoidstreifen

Fibrinoid der Basalplatte an der äußeren Grenze zur Dezidua hin. Fibrinoid entsteht an Orten, an denen es durch vermehrte Umbauvorgänge zu Gewebeuntergängen kommt, es besteht aus einem bindegwebsfreien Niederschlag aus Fibrin, Immunglobulin, trophoblastischen Sekreten und Degenerationsprodukten.

Die Basalplatte besteht überwiegend aus Deziduazellen. Sie sind leicht an ihrer Größe und an ihren runden, euchromatischen Kernen mit deutlichem Nukleolus zu erkennen. Zum intervillösen Raum hin ist die Basalplatte ursprünglich von einer geschlossenen Schicht des Synzytiotrophoblasten überzogen. In der hier vorliegenden späten Plazenta ist dieser Überzug lückenhaft; an der Grenze zum intervillösen Raum findet sich ein wechselnd dicker, strukturloser eosinophiler Überzug, der sog. Nitabuchsche Fibrinoidstreifen.