Voriges Präparat Index Nächstes Präparat   [a] [b] [c] [d]
 

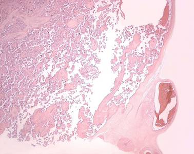
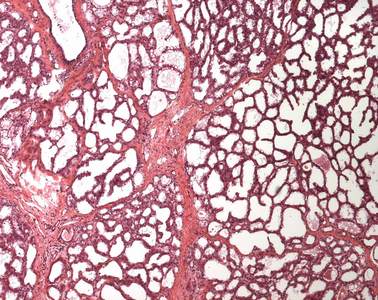
Präparat 84b: Mamma, laktierend, H.-E.

[Bild]
Stroma

Grundgerüst eines Organs aus retikulärem oder lockerem Bindegewebe.

Univakuoläre Fettzellen

Adipozyten; bilden das weiße Fettgewebe. Jede Fettzelle enthält einen einzigen großen membranlosen Fetttropfen. Wird das Gewebe für histologische Routineuntersuchungen in Paraffin eingebettet, löst sich das Fett aus diesem Tropfen und es entsteht eine einzige, große Fettvakuole. Zellkern und Zytoplasma werden durch den Fetttropfen an den Zellrand gedrängt, es entsteht das Bild der Siegelringform der Fettzelle.

Östrogene

weibliche Sexualhormone, die in den Ovarien, während der Schwangerschaft auch in der Plazenta und in geringer Menge in der Nebennierenrinde und den Hoden gebildet werden. Alle Vorgänge der weiblichen Reproduktion werden von Östrogenen und Gestagenen gesteuert, wobei stets die Östrogene zunächst wirksam werden.

Prolaktin

PRL; Hormon der Adenohypophyse mit den Glandulae mammariae als Zielorgan. Die Prolatinausschüttung wird durch Prolactin- releasing factors wie Östrogene und TRH gefördert und durch Dopamin und durch den aus dem Hypothalamus sezernierten Prolactin release-inhibiting-factor gehemmt. Hauptsächlich stimuliert Prolaktin das Wachstum und die Diffenrenzierung der Brustdrüsen und induziert nach der Schwangerschaft die Laktation= Produktion der Muttermilch.

In dem Schnittpräparat der laktierenden Brustdrüse tritt das Drüsengewebe gegenüber dem interlobulären Stroma in den Vordergrund. Neben dem stark ausgeprägtem Drüsengewebe erkennt man Bindegewebssepten und kaum univakuoläre Fettzellen.

Durch den hormonellen Einfluß von Östrogen, Progesteron und Prolaktin beginnt mit dem ersten Drittel der Schwangerschaft der Umbau der Drüse zur reifen Mamma.