Voriges Präparat Index Nächstes Präparat   [a] [b] [c] [d] [e]
 

Präparat 85: Plazenta, H.-E.

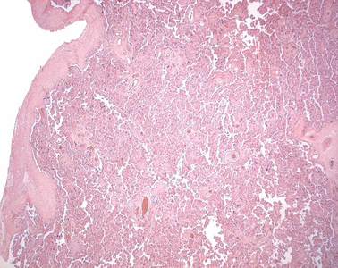
[Bild]
Plazenta

scheibenförmiges Organ, das im reifen Zustand ca. 3cm dick ist, einen Durchmesser von ca. 20cm und ein Gewicht von ca. 500g besitzt. An der dem Kind zugewandten Fläche befindet sich der Nabelschnuransatz. Die Plazenta besteht aus einer Chorionplatte, den Zottenbäumen und einer Basalplatte; die beiden Platten gehen am Rand ineinander über und umschließen einen Raum, in den von der Chorionplatte aus Zottenbäume hineinragen. Der zwischen den Zotten liegende intervillöse Raum wird von mütterlichem Blut durchströmt. An den Zotten findet der Stoff- und Gasaustausches zwischen Mutter und Kind statt. Die Plazenta bildet Hormone, die der Erhaltung der Schwangerschaft dienen; Erfolgsorgane dieser Hormone sind der Gelbkörper im Ovar, die Uterusgewebe, die Mamma und embryonale Organe. Zwischen Plazentahormonen und den Hormonen des Ovars und des Hypophysenvorderlappens bestehen Regelkreise.

Chorionplatte

Bestandteil der Plazenta, ist an ihrer der Amnionhöhle zugewandten Seite mit Amnionepithel überzogen und dient der Befestigung der Chorionzotten.

Vasa umbilicalia

Nabelschnurgefäße, die die Gefäße der Chorionzotten mit Gefäßen im Feten verbinden. Zum Feten wird das sauerstoff- und nährstoffreiche Blut über die Vv. umbilicales geführt. Von den ursprünglich paarig angelegten Venen bleibt jedoch nur die linke V. umbilicalis erhalten. Die Aa.umbilicales bleiben paarig erhalten und verlaufen mit der Vene in der Nabelschnur. Sie führen das sauerstoff- und nährstoffarme Blut des Feten in die Zotten.

Deziduaplatte

(Basalplatte) Die an Zellen und Interzellularsubstanz reiche Basalplatte grenzt den intervillösen Raum von der mütterlichen Dezidua ab und gliedert sich in mehrere, undeutlich voneinander abgrenzbare Schichten: Zum intervillösen Raum hin finden sich Reste von Synzytiotrophoblast, einer verschieden dicken Schicht aus Fibrinoid mit einzelnen Zytotrophoblastzellen. Dem schließt sich eine Schicht von unterschiedlich großen Zytotrophoblastzellen an, auffällig sind die sehr großen basophilen Zytotrophoblastzellen (X-Zellen) und die vielkernigen Trophoblastriesenzellen. Die Grenze zur Dezidua wird von einer nicht geschlossenen Lage Nitabuch-Fibrinoid gebildet, der sich dann die Deziduazellen anschließen. Von der Basalplatte aus ragen säulenartige, bizarr gestaltete Septae placentae in den intervillösen Raum, die histologisch der Basalplatte gleichen.

Dezidualzellen

Stromazellen des Endometriums, die sich während der Schwangerschaft vergrößern und Fett und Glykogen einlagern. Sie bleiben während der gesamten Schwangerschaft erhalten und sezernieren Prolaktin und Prostaglandin. Durch Hemmung der Lymphozytenproliferation und der Antikörperproduktion unterbinden sie eine Fruchtabstoßung.

Dieser Ausschnitt aus der Plazenta zeigt auf der rechten Seite die Chorionplatte, die dem Embryo und der Fruchtblase (Amnion) zugewandte Seite der Plazenta mit den Vasa umbilicalia (zwei Arterien, eine Vene). Die Dezidua- oder Basalplatte (dem Uterus zugewandte maternale Seite, im Endometrium verankert) ist in der linken oberen Bildecke zu erkennen. Sie besteht aus einer bunten Mischung verschiedener Komponenten: Deziduazellen (s.u.), Riesenzellen, Fibrinoid, Arterien und Venen, die Plazenta und Uterus verbinden.