| Voriges Präparat | Index | Nächstes Präparat | ![]() |
![]() |
![]() |
![]() |
![]() |
|
|
|||
|
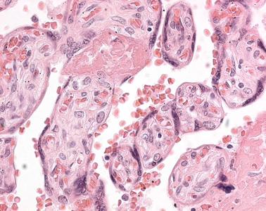
Chorionzotten
Zottenbäume der Chorionplatte, die in einen Raum ragen, der von Chorionplatte und Basalplatte umschlossen wird. Sie entstehen aus Primärzotten, aus denen sich durch Einwachsen von Bindegewebe und Gefäßen aus der Chorionplatte Sekundär- und Tertiärzotten entwickeln. Die Zotten ragen in den mit mütterlichem Blut gefüllten intervillösen Raum. Ein ca. 1-5mm langer Zottenstamm (Truncus chorii) verzweigt sich mehrfach dichotom, wobei die Zotten bei jeder Aufteilung an Durchmesser verlieren. Die Zottenbäume sind durch ihren Truncus an der Chorionplatte und mit Haftzotten an der Basalplatte befestigt. Die Zotten sind vom Synzytiotrophoblasten und Zytotrophoblasten überzogen, der Zytotrophoblast bildet sich am Ende der Schwangerschaft stark zurück. Die Zotten führen im bindewebigen Stroma Gefäße mit kindlichem Blut und dienen dem Stoff- und Gasaustausch zwischen Mutter und Kind.
Synzytiotrophoblast
Bestandteil der Endzotten, dem eine besondere Bedeutung für den Stoffaustausch zwischen Mutter und Kind zukommt. Der Synzytiotrophoblast überzieht die Zotten, ist ein Synzytium und entwickelt sich aus dem unterliegenden Zytotrophoblasten.
Rohrsches Fibrinoid
Fibrinoid an der Grenze zum intervillösen Raum, das den Ersatz für das ursprünglich bedeckende Synzytium darstellt. Fibrinoid entsteht an Orten, an denen es durch vermehrte Umbauvorgänge zu Gewebeuntergängen kommt, es besteht aus einem bindegwebsfreien Niederschlag aus Fibrin, Immunglobulin, trophoblastischen Sekreten und Degenerationsprodukten. |
||
|
Kleinere, quergeschnittene Chorionzotte: Im Zentrum der Zotten liegt Bindegewebe mit Mesenchymzellen, Fibroblasten, Makrophagen (Hofbauer-Zellen) und Kapillaren (oft erythrozytengefüllt). An ihrer Oberfläche befindet sich ein lückenloses flaches bis isoprismatisches Epithel, der Synzytiotrophoblast. Die heterochromatischen Zellkerne dieses (synzytialen) Epithels liegen oft in Gruppen gedrängt beieinander. Sehr vereinzelt kann man unter dem Synzytiotrophoblasten Zellen des Zytotrophoblasten (Langhans-Zellen) erkennen, die im Vergleich zum Synzytiotrophoblasten größere, rundere, euchromatische Zellkerne mit deutlichem Nukleolus besitzen. Die Zytotrophoblastzellen werden im Verlauf der Schwangerschaft weniger und sind in der reifen Plazenta nur gelegentlich zu finden. An manchen Stellen sind an oder zwischen den Zotten fast strukturlose eosinophile Ablagerungen zu erkennen, denen häufig der geschlossene Synzytiotrophoblastüberzug fehlt: Rohrsches Fibrinoid. |
|||