| Voriges Präparat | Index | Nächstes Präparat | ![]() |
![]() |
![]() |
![]() |
![]() |
|
|
|||
|
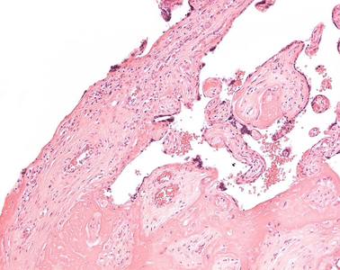
Chorionzotten
Zottenbäume der Chorionplatte, die in einen Raum ragen, der von Chorionplatte und Basalplatte umschlossen wird. Sie entstehen aus Primärzotten, aus denen sich durch Einwachsen von Bindegewebe und Gefäßen aus der Chorionplatte Sekundär- und Tertiärzotten entwickeln. Die Zotten ragen in den mit mütterlichem Blut gefüllten intervillösen Raum. Ein ca. 1-5mm langer Zottenstamm (Truncus chorii) verzweigt sich mehrfach dichotom, wobei die Zotten bei jeder Aufteilung an Durchmesser verlieren. Die Zottenbäume sind durch ihren Truncus an der Chorionplatte und mit Haftzotten an der Basalplatte befestigt. Die Zotten sind vom Synzytiotrophoblasten und Zytotrophoblasten überzogen, der Zytotrophoblast bildet sich am Ende der Schwangerschaft stark zurück. Die Zotten führen im bindewebigen Stroma Gefäße mit kindlichem Blut und dienen dem Stoff- und Gasaustausch zwischen Mutter und Kind.
Intervillöser Raum
Raum zwischen den Zotten (Zotte=Villus), der von der Chorionplatte und der Basalplatte begrenzt wird und in dem die Zotten vom mütterlichen Blut umspült werden.
Haftzotten
Aufzweigungen der Stammzotten, die durch Zellsäulen mit der Basalplatte verbunden sind und so der Befestigung des Zottenbaums dienen. |
||
|
Der Raum zwischen Chorionplatte und Basalplatte ist gefüllt mit Anschnitten der zahllosen Chorionzotten. Zwischen den Zotten, im sog. intervillösen Raum, liegen an vielen Stellen verklumpte (maternale) Erythrozyten. Die Chorionzotten entspringen von größeren bindegewebigen Stammzotten, die von der Chorionplatte herabragen (nicht immer zu sehen) und in deren Zentrum große (embryonale) Arterien und Venen laufen. Einige dieser Zottenbäume reichen bis an die Basalplatte herab und verschmelzen mit ihr: Haftzotten. |
|||