Voriges Präparat Index Nächstes Präparat   [a] [b] [c] [d]
 

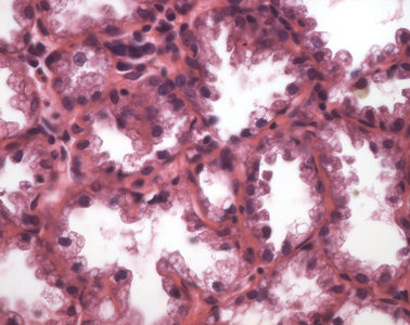
Präparat 84b: Mamma, laktierend, H.-E.

[Bild]
Hochprismatisches Epithel

besteht aus Zellen, die höher als breit sind. Häufig befinden sich an der apikalen Zelloberfläche zahlreiche Mikrovilli. Diese bilden den lichtmikroskopisch erkennbaren Bürstensaum. Einschichtiges hochprismatisches Epithel mit Bürstensaum bildet die innere Oberfläche des Darmtraktes. Es dient Austauschvorgängen (Resorption, Sekretion).

Myoepithelzellen

den Endstücken einiger Drüsen (z.B. Speicheldrüsen, Brustdrüse) anliegende langgestreckte oder sternförmige Zellen mit zentral gelegenem Zellkern und langen Zytoplasmafortsätzen. Sie sind epithelialer Herkunft und kontraktil. Sie enthalten Aktin- und Myosinfilamente. Durch Desmosomen stehen sie in Kontakt mit den Drüsenzellen und umfangen das Drüsenendstück krakenförmig.

Schlussleiste

junktionaler Komplex, Haftkomplex; kommt an den meisten einschichtigen und einigen mehrschichtigen Epithelien vor. Er besteht von apikal nach basal aus drei verschiedenen Zellkontakten: 1. Zonula occludens (tight junction), 2. Zonula adhaerens (Gürteldesmosom), 3. Macula adhaerens (Fleckdesmosom).

Laktation

Synthese und Sekretion der Milch durch die stimulierende Wirkung des Prolaktins nach der Entbindung. Die taktilen Stimuli durch den Saugakt des Kindes fördern die Ausschüttung von Prolaktin und Oxytocin aus dem Hypophysenhinterlappen, was zur Synthese von Milch in den Drüsenzellen und zur Kontraktion der Myoepithelzellen führt. Interessant ist jedoch, dass die Laktation vor der Entbindung durch den hohen in der Plazenta gebildeten Progesteronspiegel gehemmt ist. Dadurch beginnt die Laktation erst nach Ausstoßung der Plazenta. Am 5. Tag post partum beträgt das tägliche Milchvolumen 500ml, in der weiteren Stillperiode steigt das Volumen auf durchschnittlich 800ml an.

Zonulae occludentes

Tight junction; leistenförmige Verschmelzung der Plasmamembranen zweier benachbarter Zellen, wodurch der Interzellularspalt an dieser Stelle verschlossen wird.

Kolostrum

Vormilch; wird von den Brustdrüsen ab der 6. Schwangerschaftswoche gebildet. Die Zusammensetzung der Vormilch hängt mit der hohen Durchlässigkeit der Tight junctions während der Schwangerschaft zusammen, so das sie von der Zusammensetzung her sehr stark dem Blutplasma ähnelt. Die Vormilch enthält reichlich Immunglobuline und Leukozyten. Mit Fett beladene Leukozyten werden als Kolostrumkörperchen bezeichnet. Die gelbe Farbe des Kolostrums beruht auf dem Gehalt von Karotinoid. Einige Tage nach der Geburt beginnt die Synthese der reifen Muttermilch aufgrund der nun undurchlässigen Tight junctions zwischen den Drüsenepithelzellen.

Prolaktin

PRL; Hormon der Adenohypophyse mit den Glandulae mammariae als Zielorgan. Die Prolatinausschüttung wird durch Prolactin- releasing factors wie Östrogene und TRH gefördert und durch Dopamin und durch den aus dem Hypothalamus sezernierten Prolactin release-inhibiting-factor gehemmt. Hauptsächlich stimuliert Prolaktin das Wachstum und die Diffenrenzierung der Brustdrüsen und induziert nach der Schwangerschaft die Laktation= Produktion der Muttermilch.

Oxytocin

Neuropeptid aus 9 Aminosäuren, das vor allem von magnozellulären Neuronen im Nucleus paraventricularis gebildet wird. Das Hormon wird in (nur elektronenmikroskopisch zu identifizierende Elementargranula) verpackt, in den Axonen zum Hypophysenhinterlappen transportiert, wo es durch Exozytose freigesetzt und von benachbarten Kapillaren aufgenommen wird. Oxytocin bewirkt die Milchejektion durch Kontraktion der Myoepithelzellen der Milchdrüsen und steuert die Tätigkeit der glatten Muskulatur des Uterus unter der Geburt (Wehen).

Stroma

Grundgerüst eines Organs aus retikulärem oder lockerem Bindegewebe.

Apoptose

programmierter Zelltod. Bei der Apoptose schaltet die Zelle unter Beteiligung zahlreicher Proteasen (Caspasen) ein Programm ein, welches kaskadenartig abläuft und zur Zerstörung der DNS und des Zellkerns führt. Zu beachten ist, dass bei der Apoptose keine Aktivierung des Immunsystems erfolgt. Apoptotische Vorgänge spielen eine wichtige Rolle während der Entwicklung, bei der Erneuerung von Epithelien oder in der Tumorpathologie.

Die Wand der sezernierenden Drüsenendstücke ist aus einem einschichtigen zum Großteil hochprismatischen Epithel aufgebaut, wobei die Höhe der einzelnen Drüsenzellen größeren Schwankungen unterliegt. An den apikalen Zellpolen der Drüsenzellen finden sich deutliche Anzeichen apokriner Sekretion (Abschnürung von Vesikeln). Im Epithelverband finden sich auch zahlreiche Myoepithelzellen.

Die Drüsenepithelzellen sind durch Haftkomplexe (nur im Elektronenmikroskop sichtbar) miteinander verbunden. Zu Beginn der Laktation sind die Tight junctions der Haftkomplexe noch relativ durchlässig, wodurch die am Anfang produzierte Vormilch (Kolostrum) aufgrund der parazellulären Transportprozesse eine große Ähnlichkeit mit Blutplasma aufweist. Nach der Geburt nimmt die Durchlässigkeit der Tight junctions ab, wodurch der Transport in das Drüsenlumen hauptsächlich transzellulär erfolgt.

Aufgrund der verminderten Hormonsekretion von Prolaktin und Oxytocin am Ende der Stillzeit versiegt die Laktation. Durch apoptotische Vorgänge bilden sich die Drüsenazini zurück und sie werden durch das Fettgewebe ersetzt.