Voriges Präparat Index Nächstes Präparat   [a] [b] [c] [d] [e] [f]
 

Präparat 90: Charakteristika des Nervengewebes, Endhirnrinde, Cresyl-Violett

[Bild]
Isocortex

bildet den größten Teil der Endhirnrinde. Er ist der entwicklungsgeschichtlich jüngste Teil des Endhirns und wird deshalb auch als Neocortex bezeichnet. Der Isocortex wird in 6 parallel zur Oberfläche verlaufende Schichten eingeteilt. Dem Isocortex wird der entwicklungsgeschichtlich ältere Allocortex gegenübergestellt.

Lamina molecularis

Lamina I des Isocortex des Großhirns, sie enthält Neuropilformationen, zahlreiche Nervenfasern und wenige Nervenzellen. An der Oberfläche liegt die von Astrozytenendfüßen gebildete Membrana limitans gliae superficialis.

Lamina granularis externa

Lamina II des Isocortex des Großhirns; sie ist reich an kleinen Pyramidenzellen, die sehr dicht angerdnet sind. Dies ruft bei schwacher Vergrößerung den Eindruck einer Körneransammlung hervor. Die Axone der Körnerzellen ziehen in der weißen Substanz meist zu anderen ipsilateralen Cortexarealen.

Körnerzellen, Cortex cerebri

kleine multipolare Nervenzellen der Lamina granularis externa et interna; sie senden ihre Axone meist zu anderen ipsilateralen Kortexarealen.

Pyramidenzellen

pyramidenförmige, multipolare Nervenzellen, die besonderes gut in der inneren und äußeren Pyramidenzellschicht des Endhirns anzutreffen sind. In der inneren Pyramidenzellschicht finden sich Betz-Riesenpyramidenzellen. Sie sind Projektionsneurone der Großhirnrinde und bilden die Pyramidenbahn, den Tr. corticospinalis.

Interneurone

Nervenzellen des ZNS mit begrenzter Ausbreitung; ihre Axone können sich stark verzeigen und verlassen die graue Substanz in der Regel nicht. Interneurone können nachgeschaltete Nervenzellen hemmen (z.B. Renshaw-Zellen des Rückenmarks) oder erregen.

Axon

der efferenten Erregungsleitung dienender Fortsatz der Nervenzelle. Die Erregung der Nervenzelle wird in Form von Aktionspotentialen weitergeleitet. Jede Nervenzelle besitzt nur ein Axon, in dessen Verlauf allerdings Kollateralen abzweigen können. In der Zielregion kann sich das Axon mehrfach verzweigen (Telodendron) und mit mehreren nachgeschalteten Nervenzellen Synapsen bilden.

Perikaryon

Zellkörper einer Nervenzelle (Neuron), auch Soma (griechisch: Körper, Leib) genannt. Im eigentlichen Wortsinn ist Perikaryon der Teil des Zellkörpers, der den Zellkern umgibt und das Zytoplasma enthält (griech.: peri - um, darum herum; karyos - Kern)

Lamina granularis interna

Lamina IV des Isocortex des Großhirns, die vorwiegend aus dicht gepackten kleinen Pyramidenzellen (Körnerzellen) besteht. Hier enden die Afferenzen aus den spezifischen Thalamuskernen; die Dicke der Schicht variiert stark. In bestimmten Cortexarealen kann sie weiter untergliedert werden, z. B. durch die markhaltigen Afferenzen aus dem Thalamus, die den Baillarger-Streifen bilden.

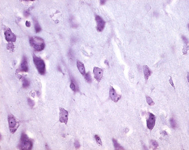
Unter der nervenzellarmen äußersten Schicht des Isocortex, der Molekularschicht (Lamina molecularis), liegt die äußere Körnerschicht (Lamina granularis externa). Sie ist ist dicht mit Körnerzellen angefüllt, kleinen Pyramidenzellen mit kurzen, schlanken Apikaldendriten. Weiterhin finden sich in dieser Schicht auch zahlreiche Nicht-Pyramidenzellen, zu denen Interneurone und Sternzellen gehören. Ihr Dendritenbaum zeigt nicht den regelmäßigen Bau wie bei Pyramidenzellen, oft fehlt der zur Rindenoberfläche aufsteigende Apikaldendrit. Das Axon kann von allen Teilen des Perikaryons entspringen. Sein Verlauf ist in der Nissl-Färbung nicht zu erkennen.

Auch die innere Körnerzellschicht, die Lamina granularis interna, enthält zahlreiche, dicht beieinander liegende Körnerzellen.