Voriges Präparat Index Nächstes Präparat   [a] [b] [c] [d] [e] [f]
 

Präparat 90: Charakteristika des Nervengewebes, Endhirnrinde, Cresyl-Violett

[Bild]
Ribosomen

Ribosomen sind etwa 20-25 nm große, globuläre Partikel. Sie sind für die Proteinbiosynthese zuständig und liegen frei im Zytosol oder sind an das endoplasmatische Retikulum gebunden.

Nissl-Schollen

Nissl-Substanz; basophile, ribonukleinsäurereiche Schollen in Nervenzellen, die ultrastrukturell Ansammlungen von rauen endoplasmatischen Retikulum und freien Ribosomen entsprechen. Sie sind der Ort der Proteinbiosynthese. Benannt nach dem deutschen Psychiater und Neurologen Franz Nissl (1860 -1919), der als Medizinstudent die nach ihm benannte Nissl-Färbung zur Darstellung von Nervenzellen entwickelte. Bevor er 1895 zu Emil Kraepelin an die Psychiatrische Universitätsklinik nach Heidelberg wechselte (bis 1918), war er ab 1889 für sechs Jahre lang Oberarzt unter Alois Alzheimer in Frankfurt, mit dem er Arbeiten über Histologie und Histopathologie der Großhirnrinde (1904, 1908 und posthum 1921) veröffentlichte.

Axon

der efferenten Erregungsleitung dienender Fortsatz der Nervenzelle. Die Erregung der Nervenzelle wird in Form von Aktionspotentialen weitergeleitet. Jede Nervenzelle besitzt nur ein Axon, in dessen Verlauf allerdings Kollateralen abzweigen können. In der Zielregion kann sich das Axon mehrfach verzweigen (Telodendron) und mit mehreren nachgeschalteten Nervenzellen Synapsen bilden.

Perikaryon

Zellkörper einer Nervenzelle (Neuron), auch Soma (griechisch: Körper, Leib) genannt. Im eigentlichen Wortsinn ist Perikaryon der Teil des Zellkörpers, der den Zellkern umgibt und das Zytoplasma enthält (griech.: peri - um, darum herum; karyos - Kern)

Dendriten

der Signalaufnahme dienende, baumartig verzweigte Fortsätze einer Nervenzelle, die im Gegensatz zum Axon raues endoplasmatisches Retikulum enthalten und nicht von einer Markscheide umhüllt sind.

Cortex cerebri

(Großhirnrinde), graue Substanz an der Oberfläche des Großhirns (Telencephalon).

Graue Substanz

Substantia grisea, von der weißen Substanz (Substantia alba) umschlossener Teil des Rückenmarks, der die Perikaryen der Nervenzellen und das Neuropil (ein Geflecht von Nerven- und Gliazellfortsätzen mit vielen Synapsen) umfasst. Im Querschnitt des Rückenmarks hat sie die charakteristische Schmetterlingsform.

Weiße Substanz

Substantia alba; sie umgibt die graue Substanz des Rückenmarks mantelförmig und enthält im wesentlichen markhaltige und marklose Nervenfasern, jedoch so gut wie keine Perikarya von Nervenzellen. Die Nervenfasern ordnen sich zu Strängen an: Vorderseitenstrang (Funiculus anterolateralis); (Funiculus posterior).

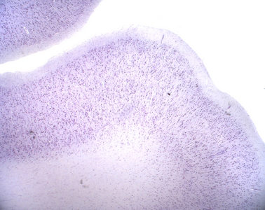
Bei dem Präparat handelt es sich um eine sog. Nissl-Färbung , bei der man mit Hilfe basischer Farbstoffe (typischerweise Cresylviolett) die sauren Bestandteile der Zelle anfärbt. Saure (also basophile) Bestandteile der Zelle sind vor allem die Nukleinsäuren des Kernes und die Ribonukleinsäuren der freien Ribosomen im Plasma und die Ribosomen am rauen endoplasmatischen Retikulum. Letztere stellen sich mit dem Lichtmikroskop oft als schollen- oder klumpenartige Strukturen dar, sie werden allgemein als Ergastoplasma und in den Nervenzellen als Nissl-Schollen, Nissl-Substanz oder Tigroid-Substanz bezeichnet. Die Axone enthalten im Gegensatz zum Perikaryon (Zellleib) und den proximalen Dendriten keine Nissl-Schollen und bleiben deshalb ungefärbt. Die Färbung wurde in der zweiten Hälfte des 19. Jahrhunderts von Franz Nissl entwickelt, sie ist bis heute die Standardmethode zum Studium des Zentralnervensystems siehe auch Präparat 26).

Das Präparat weist eine gefaltete, natürliche Oberfläche und eine oder mehrere künstliche Schnittkanten auf. Schon in der Übersicht erkennt man, dass das Präparat, wie es für viele Bereiche des Zentralnervensystems typisch ist, eine strenge räumliche Ordnung aufweist: eine dunkel gefärbte, fast gleichbleibend breite Rinde (Cortex) grauer Substanz an der Oberfläche ist scharf von einer fast ungefärbten, tiefen (Mark-)Schicht aus weißer Substanz abgegrenzt.