Voriges Präparat Index Nächstes Präparat   [a] [b] [c]
 

Präparat 26: Multipolare Nervenzellen, Rückenmark (Schwein), Nissl-Färbung

[Bild]
Nervenzelle

Neuron; vom Zellleib (Perikaryon) der Nervenzellen gehen unterschiedliche Fortsätze ab: Dendriten, die der Nervenzelle Informationen von anderen Nervenzellen vermitteln und ein Axon, das die Erregung der Nervenzelle an Zielzellen (andere Nervenzellen, Muskulatur, Drüsenzellen) vermittelt. Nach Anzahl und Art ihrer Fortsätze lassen sich multipolare, bipolare oder pseudounipolare Neurone unterscheiden. Bei multipolaren Neurone gehen mehrere Dendriten und ein Axon vom Perikaryon ab, bipolare Neurone haben neben dem Axon nur einen Dendritenstamm. Ein Sonderfall sind die pseudounipolaren Nervenzellen, die z. B. im Spinalganglion vorkommen. Hier entspringt vom Perikaryon nur ein einziger Fortsatz, der sich kurz nach Abgang vom Perikaryon in einen peripheren und einen zentralen Fortsatz aufzeigt. Nach Funktion und Ultrastruktur sind die peripheren und zentralen Fortsätze der pseudounipolaren Nervenzellen Axone.

Perikaryon

Zellkörper einer Nervenzelle (Neuron), auch Soma (griechisch: Körper, Leib) genannt. Im eigentlichen Wortsinn ist Perikaryon der Teil des Zellkörpers, der den Zellkern umgibt und das Zytoplasma enthält (griech.: peri - um, darum herum; karyos - Kern)

Dendriten

der Signalaufnahme dienende, baumartig verzweigte Fortsätze einer Nervenzelle, die im Gegensatz zum Axon raues endoplasmatisches Retikulum enthalten und nicht von einer Markscheide umhüllt sind.

Axon

der efferenten Erregungsleitung dienender Fortsatz der Nervenzelle. Die Erregung der Nervenzelle wird in Form von Aktionspotentialen weitergeleitet. Jede Nervenzelle besitzt nur ein Axon, in dessen Verlauf allerdings Kollateralen abzweigen können. In der Zielregion kann sich das Axon mehrfach verzweigen (Telodendron) und mit mehreren nachgeschalteten Nervenzellen Synapsen bilden.

Markscheide

Myelinscheide, Umhüllung des Axons durch Zytoplasmafortsätze von Oligodendrozyten (ZNS) oder Schwann- Zellen (peripheres Nervensystem). Diese Zellen bilden lipidhaltige Lamellen um das entsprechende Axon. Je nach Anzahl der Lamellen unterscheidet man markreiche oder markarme Nervenfasern.

Multipolare Neurone

Häufigster Nervenzelltyp mit zahlreichen Dendriten, die sich in der Nähe des Zellkörpers verzweigen und einem langen Axon. Typische Vertreter dieses Zelltyps sind die motorischen Vorderhornzellen des Rückenmarks.

Nissl-Färbung

Färbemethode zur Darstellung der Nissl-Schollen, z.B. mit Kresylviolett oder Toluidinblau.

Basophilie

Zell- oder Gewebsbestandteile, die sich aufgrund ihrer Affinität zum basischen Farbstoff Methylenblau blau anfärben lassen, werden als basophil bezeichet

Cornu ventralis/anterior

Vorderhorn, Teil der grauen Substanz des Rückenmarks, der die motorischen Vorderhornzellen (Motoneurone) enthält, deren Axone über die Vorderwurzel in die Spinalnerven ziehen und über motorische Endplatten die quergestreifte Skelettmuskulatur innervieren.

Graue Substanz

Substantia grisea, von der weißen Substanz (Substantia alba) umschlossener Teil des Rückenmarks, der die Perikaryen der Nervenzellen und das Neuropil (ein Geflecht von Nerven- und Gliazellfortsätzen mit vielen Synapsen) umfasst. Im Querschnitt des Rückenmarks hat sie die charakteristische Schmetterlingsform.

Motoneurone

liegen im Vorderhorn des Rückenmarks. Sie werden in große Alpha- und kleine Gamma- Motoneurone eingeteilt. Die Alpha-Motoneurone innervieren quergestreifte Skelettmuskelfasern über motorische Endplatten. Ein Alpha-Motoneuron bildet mit allen von ihm innervierten Skelettmuskelfasern eine motorische Einheit. Die kleineren Gamma- Motoneurone innervieren die intrafusalen Muskelfasern der Muskelspindeln.

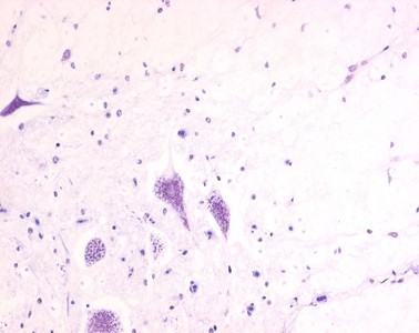
Nervenzellen (Neurone) sind Zellen mit Fortsätzen, die sich hinsichtlich ihrer Länge, Struktur und Funktion unterscheiden. Das morphologische und trophische Zentrum einer Nervenzelle ist das Perikaryon (synonym: Soma, Zellleib), in dem sich der Zellkern befindet. Die Fortsätze der Nervenzellen sind die Dendriten, über die Signale von anderen Nervenzellen empfangen werden, und das Axon, das die Erregung der Nervenzelle in Form von Aktionspotentialen weiterleitet. Das Axon kann eine beträchtliche Länge erreichen und von einer Markscheide umhüllt sein (entsprechend werden markhaltige und marklose Axone unterschieden). Die Dendriten besitzen keine Markscheide. Von einem Perikaryon können ein oder mehrere Dendriten abgehen. Neurone mit mehreren Dendriten werden als multipolare Nervenzellen bezeichnet. Um den komplexen Aufbau der Nervenzellen im Lichtmikroskop zu erkennen, müssen unterschiedliche Färbetechniken verwendet werden.

Hier wurde ein Querschnitt durch das Rückenmark mit dem Farbstoff Creyslviolett behandelt (Nissl-Färbung), der basophile Zellbestandteile intensiv blau darstellt. Zum Studium der Nervenzellen suchen wir die Vorderhörner der schmetterlingsförmigen grauen Substanz des Rückenmarks auf, in denen die Perikaryen der großen motorischen Nervenzellen (Motoneurone) liegen, die bereits in dieser Übersicht als intensiv blau gefärbte Punkte zu erkennen sind.