Voriges Präparat Index Nächstes Präparat   [a] [b] [c] [d] [e] [f]
 

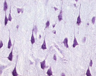
Präparat 90: Charakteristika des Nervengewebes, Endhirnrinde, Cresyl-Violett

[Bild]
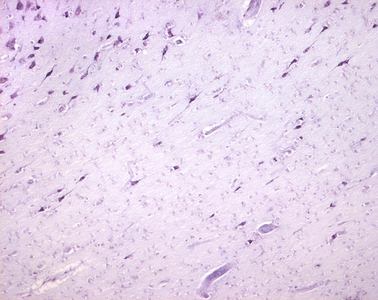
Weiße Substanz

Substantia alba; sie umgibt die graue Substanz des Rückenmarks mantelförmig und enthält im wesentlichen markhaltige und marklose Nervenfasern, jedoch so gut wie keine Perikarya von Nervenzellen. Die Nervenfasern ordnen sich zu Strängen an: Vorderseitenstrang (Funiculus anterolateralis); (Funiculus posterior).

Perikaryon

Zellkörper einer Nervenzelle (Neuron), auch Soma (griechisch: Körper, Leib) genannt. Im eigentlichen Wortsinn ist Perikaryon der Teil des Zellkörpers, der den Zellkern umgibt und das Zytoplasma enthält (griech.: peri - um, darum herum; karyos - Kern)

Dendriten

der Signalaufnahme dienende, baumartig verzweigte Fortsätze einer Nervenzelle, die im Gegensatz zum Axon raues endoplasmatisches Retikulum enthalten und nicht von einer Markscheide umhüllt sind.

Multipolare Neurone

Häufigster Nervenzelltyp mit zahlreichen Dendriten, die sich in der Nähe des Zellkörpers verzweigen und einem langen Axon. Typische Vertreter dieses Zelltyps sind die motorischen Vorderhornzellen des Rückenmarks.

Gliazellen

Zellen des Nervensystems, die mechanische und metabolische Aufgaben erfüllen und essentielle Partner der Nervenzellen sind. Im Zentralnervensystem sind zu unterscheiden: Astrozyten, Tanyzyten, Ependymzellen, Plexusepithelzellen, Oligodendrozyten und Mikroglia. Die Mikroglia entwickelt sich nicht - wie alle anderen Gliazelltypen - aus dem Neuralrohr (Ektoderm), sondern wächst aus dem Mesenchym in die Anlage des Nervensystems ein.

Astrozyten

Gliazellen mit z.T. sehr langen Fortsätzen, die in enger Verbindung zu Kapillaren und Nervenzellen stehen. An der äußeren Oberfläche des ZNS bilden die verbreiterten Endfüße der Fortsätze die Membrana limitans gliae superficialis, an den Kapillaren die Membrana limitans gliae vascularis. Es werden fibrilläre und protoplasmatische Astrozyten unterschieden. Die fibrillären Astrozyten haben lange, dünne und schmale Fortsätze; sie befinden sich vor allem in der weißen Substanz von Gehirn und Rückenmark. Die protoplasmatischen Astrozyten haben kürzere Fortsätze, sie liegen vor allem in der grauen Substanz des ZNS. Astrozyten kontrollieren die Zusammensetzung des extrazellulären Milieus und beeinflussen indirekt Transportvorgänge im ZNS und regulierendas Elektrolytengleichgewicht im ZNS.

Oligodendrozyten

Neben Astrozyten und Mikroglia Bestandteil der Neuroglia des ZNS. Oligodendrozyten finden sich sowohl in der grauen als auch in der weißen Substanz von Gehirn und Rückenmark und dienen der Bildung und Erhaltung der Markscheiden der Axone.

In der Nähe der Grenze zur weißen Substanz tauchen vermehrt schlanke, spindelförmige bipolare Perikaryen mit einander gegenüberliegenden Dendritenstümpfen auf. Dort findet man auch die rundlichen oder polygonalen Zellleiber von multipolaren Zellen, deren Dendritenstümpfe in verschiedensten Richtungen aus den Zellleibern herausragen.

In der weißen Substanz, die in der Nissl-Färbung annähernd strukturlos erscheint, findet man fast ausschließlich blasse Gliazellkerne. Bei den Gliazellen der weißen Substanz handelt es sich überwiegend um fibrilläre Astrozyten und Oligodendrozyten. Die Zellkerne der Oligodendrozyten liegen in einem ungefärbten Zellleib, die Zellen ordnen sich parallel zur Textur der Axone der weißen Substanz in Reihen an.