Voriges Präparat Index Nächstes Präparat   [a] [b] [c] [d] [e]
 

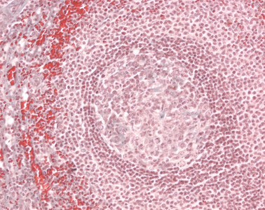
Präparat 35: Milz, Masson-Goldner

[Bild]
Milzknötchen

Folliculus lymphaticus splenicus, Malpighi-Körperchen (Achtung: auch die Nierenkörperchen werden nach ihrem Erstbeschreiber Marcellus Malpighi (1628 -1694) Malpighi-Körperchen genannt); als Primärfollikel ohne spezielle Innenstruktur oder als Sekundärfollikel vorkommende Milzfollikel. Als Sekundärfollikel verfügen sie über ein helles Reaktionszentrum mit großen Lymphozyten und eine dunklere Mantelzone aus kleinen inaktiven Zellen. Im Reaktionszentrum finden sich hauptsächlich B-Lymphozyten, B-Immunoblasten sowie T-Helferzellen. Die Follikel sind von einer eher unauffälligen Marginalzone umgeben, die sie von der roten Milzpulpa trennt. Gemeinsam mit den periarteriellen Lymphozytenscheiden bilden die Malpighi-Körperchen die weiße Pulpa der Milz.

Reaktionszentrum

(Keimzentrum) Reaktionszentrum der Lymphfollikel, der charakteristischen Bestandteile lymphatischer Organe. Die hellen Keimzentren der Sekundärfollikel entstehen durch Abwehrreaktionen durch Antigene. Sie erscheinen aufgelockert und färberisch heller und enthalten in ihrem Grundgewebe aus follikulären dendritischen Zellen Makrophagen und vor allem B-Lymphozyten. Retikulumzellen: Bildner des für lymphatische Organe und das Knochenmark typischen retikulären Bindegewebes. Die langen Zellausläufer stehen untereinander in Verbindung und lassen dadurch ein weitmaschigen, dreidimensionalen Zellverband entstehen.

Lymphozyten

gehören zu den Leukozyten. Morphologisch können kleine und große Lymphozyten unterschieden werden. Die kleinen Lymphozyten (Durchmesser von 6-8 µm) weisen einen runden, intensiv angefärbten Zellkern auf, der von einem sehr schmalen Zytoplasmasaum umgeben ist. Funktionell und immunhistochemisch werden bei diesem Zelltyp der zellulären Immunität dienende T-Lymphozyten von antikörper-produzierenden B-Lymphozyten unterschieden. Die großen Lymphozyten haben einen Durchmesser von 8-12 µm; sie besitzen eine ovalen Zellkern. Die für T- oder B-Lymphozyten charakteristischen Oberflächenmoleküle fehlen meist, man bezeichnet sie daher auch als Non-T- bzw. Non-B-Zellen.

Diese Vergrößerung zeigt die die einzelnen Abschnitte eines Milzknötchens. In der Mitte liegt das Keimzentrum (Reaktionszentrum) mit relativ großen Zellen, an das Keinzemtrum schließt sich die Korona aus dicht gepackten Lymphozyten mit kleinen kräftig gefärbten Zellkernen an. Umgeben wird die Korona von einer Marginalzone, der die perifollikuläre Zone folgt. In der perifollikulären Zone befinden sich Blutzellen bereits extravasal (offener Kreislauf).