Voriges Präparat Index Nächstes Präparat   [a] [b] [c]
 

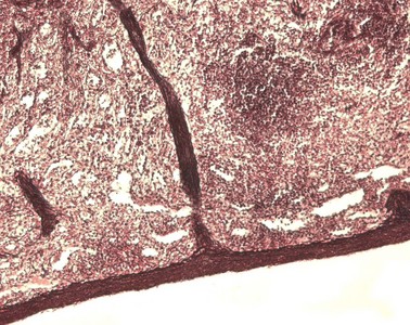
Präparat 34: Milz, Versilberung und Kernfärbung

[Bild]
Organkapsel

bindegewebige Kapsel mit elastischen Fasernetzen und Kollagenfasern, die einem Organ in seiner Umgebung den nötigen Halt gibt.

Malpighi-Körperchen

Nierenkörperchen; Corpusculum renale; bestehen aus der Bowman-Kapsel und dem eingestülpten Kapillarknäuel (Glomerulum); sie liegen in der Nierenrinde. Das Glomerulum ist ein kompliziert gebautes Gefäßknäuel zwischen einer A. afferens und einer A. efferens und stülpt sich in die Bowman-Kapsel ein. Die Bowman-Kapsel besteht aus einem viszeralen und einem parietalen Blatt. In den Raum zwischen beiden Blättern wird der Primärharn abgefiltert und gelangt von hier aus am Harnpol in das Tubulussystem.

Milzknötchen

Folliculus lymphaticus splenicus, Malpighi-Körperchen (Achtung: auch die Nierenkörperchen werden nach ihrem Erstbeschreiber Marcellus Malpighi (1628 -1694) Malpighi-Körperchen genannt); als Primärfollikel ohne spezielle Innenstruktur oder als Sekundärfollikel vorkommende Milzfollikel. Als Sekundärfollikel verfügen sie über ein helles Reaktionszentrum mit großen Lymphozyten und eine dunklere Mantelzone aus kleinen inaktiven Zellen. Im Reaktionszentrum finden sich hauptsächlich B-Lymphozyten, B-Immunoblasten sowie T-Helferzellen. Die Follikel sind von einer eher unauffälligen Marginalzone umgeben, die sie von der roten Milzpulpa trennt. Gemeinsam mit den periarteriellen Lymphozytenscheiden bilden die Malpighi-Körperchen die weiße Pulpa der Milz.

Hilum

Vertiefung an der Oberfläche eines Organs, Ein- bzw. Austrittsstelle für Gefäße und Nerven

Intensiv gefärbtes (hohe Zelldichte) Organ, durch eine Kapsel scharf von der Umgebung abgegrenzt. Im Inneren sind dunkle, rundliche Gebilde (Malpighi-Körperchen = Milzknötchen) zu erkennen, weiter große Gefäßanschnitte und Bindegewebstrabekel, die von der Kapsel ausgehend das Innere des Organs durchziehen. Am Hilum des Organs sieht man anhängende Reste von Fett und Bindegewebe, darin Gefäßanschnitte.