Voriges Präparat Index Nächstes Präparat   [a] [b] [c] [d] [e]
 

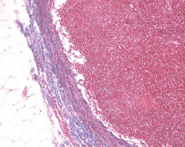
Präparat 33: Lymphknoten, Azan

[Bild]
Lymphknoten

Filterstationen des Lymphgefäßsystems und Speicher- bzw. Proliferationsorte für B-und T-Lymphozyten. Sie haben eine bindegewebige Kapsel, von der Bindegewebstrabekel ins Innere einstrahlen und ein grobes Bindegewebsgerüst bilden. Das Grundgerüst besteht aus lymphoretikulärem Gewebe, unter der Kapsel befindet sich ein Randsinus, in den die zuführenden Lymphgefäße münden. In der Rinde (Kortex) liegt eine Ansammlung von Sekundärfollikeln. Die innerste Zone ist das Mark aus weitmaschigen Marksinus und lymphozytenreichen, verzweigten Bändern, den Marksträngen.

Sekundärfollikel, lymphatische Organe

Lymphfollikel mit einer zentralen Aufhellung und einer lymphozytenreichen Randzone. Die hellen Zentren weisen auf eine Abwehrreaktion gegen Antigene hin.

Reaktionszentrum

(Keimzentrum) Reaktionszentrum der Lymphfollikel, der charakteristischen Bestandteile lymphatischer Organe. Die hellen Keimzentren der Sekundärfollikel entstehen durch Abwehrreaktionen durch Antigene. Sie erscheinen aufgelockert und färberisch heller und enthalten in ihrem Grundgewebe aus follikulären dendritischen Zellen Makrophagen und vor allem B-Lymphozyten. Retikulumzellen: Bildner des für lymphatische Organe und das Knochenmark typischen retikulären Bindegewebes. Die langen Zellausläufer stehen untereinander in Verbindung und lassen dadurch ein weitmaschigen, dreidimensionalen Zellverband entstehen.

Randwall

lymphozytenreiche Randzone eines lymphatischen Sekundärfollikels.

Lymphfollikel

Folliculi lymphoidei; hochorganisierte Ansammlungen von Lymphozyten. Sie stellen charakteristische Bestandteile der meisten lymphatischen Organe dar, treten als Solitärfollikel einzeln auf oder können sich zu Folliculi lymphoidei aggregati anhäufen. Man unterscheidet Primärfollikel, bei denen gleichförmige kleine Lymphozyten etwa gleich dicht verteilt liegen, von Sekundärfollikeln, die eine zentrale Aufhellung und eine lymphozytenreiche Randzone aufweisen. Die zentrale Aufhellung wird als Keim- oder Reaktionszentrum bezeichnet und entsteht durch Abwehrreaktionen gegen Antigene.

Intensiv gefärbtes (hohe Zell- und Zellkerndichte) Organ, umgeben von Resten von Fett- und Bindegewebe, darin auch Blutgefäßanschnitte. Im Lymphknoten ist ein hellerer und weniger zelldichter Markbereich von einem dunklen und zelldichten Rindenbereich zu unterscheiden. In der Rinde liegen dicht an dicht rundliche Gebilde mit hellem Zentrum und dunklem Rand: Sekundärfollikel mit hellem Reaktionszentrum und dunklerem Randwall. Die nebeneinander liegenden Sekundärfollikel der Rinde verleihen deren Oberfläche ein unregelmäßiges, gewelltes Aussehen. Das Mark enthält sehr viel weniger Lymphfollikel; die sehr hellen, fast leer erscheinenden Bereiche im Mark werden von den Marksinus eingenommen.