Voriges Präparat Index Nächstes Präparat   [a] [b] [c] [d] [e]
 

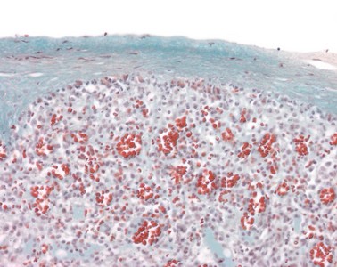
Präparat 35: Milz, Masson-Goldner

[Bild]
Malpighi-Körperchen

Nierenkörperchen; Corpusculum renale; bestehen aus der Bowman-Kapsel und dem eingestülpten Kapillarknäuel (Glomerulum); sie liegen in der Nierenrinde. Das Glomerulum ist ein kompliziert gebautes Gefäßknäuel zwischen einer A. afferens und einer A. efferens und stülpt sich in die Bowman-Kapsel ein. Die Bowman-Kapsel besteht aus einem viszeralen und einem parietalen Blatt. In den Raum zwischen beiden Blättern wird der Primärharn abgefiltert und gelangt von hier aus am Harnpol in das Tubulussystem.

Milzknötchen

Folliculus lymphaticus splenicus, Malpighi-Körperchen (Achtung: auch die Nierenkörperchen werden nach ihrem Erstbeschreiber Marcellus Malpighi (1628 -1694) Malpighi-Körperchen genannt); als Primärfollikel ohne spezielle Innenstruktur oder als Sekundärfollikel vorkommende Milzfollikel. Als Sekundärfollikel verfügen sie über ein helles Reaktionszentrum mit großen Lymphozyten und eine dunklere Mantelzone aus kleinen inaktiven Zellen. Im Reaktionszentrum finden sich hauptsächlich B-Lymphozyten, B-Immunoblasten sowie T-Helferzellen. Die Follikel sind von einer eher unauffälligen Marginalzone umgeben, die sie von der roten Milzpulpa trennt. Gemeinsam mit den periarteriellen Lymphozytenscheiden bilden die Malpighi-Körperchen die weiße Pulpa der Milz.

Organkapsel

bindegewebige Kapsel mit elastischen Fasernetzen und Kollagenfasern, die einem Organ in seiner Umgebung den nötigen Halt gibt.

Milztrabekel

Trabeculae splenicae; von der Kapsel ausgehendes grobes Gerüst aus unregelmäßig gestalteten Bindegewebssträngen und schmalen Platten. Das Trabekelwerk ist in Hilumnähe am stärksten ausgeprägt und führt die aus der A. splenica hervorgehenden Balkenarterien.

Fibrozyten

ortsständige, spindelförmige Bindegewebszellen mit verzweigten Fortsätzen. Diese Zellen synthetisieren alle Substanzen der Extrazellulärmatrix des Bindegewebes. Fibroblasten haben eine hohe Syntheseleistung, ihr Zellkern ist reich an Euchromatin und erscheint in der histologischen Färbung hell. Fibrozyten sind weniger aktiv, ihr Zellkern ist Heterochromatin reich und ist deshalb kräftiger gefärbt.

Balkenvenen

in Richtung Milzhilum ziehende Gefäße, die über die Pulpavenen aus den Milzsinus gespeist werden.

Balkenarterien

Trabekelarterien stellen den ersten Abschnitt des intralienalen Blutgefäßsystems dar; sie verlaufen in den Milzbalken und gehen aus der A. splenica hervor.

Pulpaarterien

aus den Balkenarterien hervorgehende Arterien der Milz.

Zentralarteriolen

Verzweigungen der Zentralarterien (Pulpaarterien). Die Pulpaarterien und ihre Aufzweigungen sind von der periarteriellen Lymphozytenscheide umhüllt.

Milzsinus

Netzwerk aus verschieden langen und breiten, untereinander kommunizierenden Röhrchen, deren Wände von langgestreckten Endothelzellen gebildet werden. Durch aktiven Formwandel der Zellen können Öffnungen in der Sinuswand entstehen, sodaß Blutplasma und Blutzellen ins Milzretikulum gelangen können. Ca. 10% des die Milz durchströmenden Blutes erreicht so das perisinusoide Gewebe, 90% wird direkt in das venöse System geleitet.

Rote Pulpa

Netzwerk aus Milzsinus, Retikulumzellen, retikulären Fasern und allen Anteilen des strömenden Bluts. Das charakteristische Aussehen erhält die rote Pulpa durch das Überwiegen der Erythrozyten.

Weiße Pulpa

Bestandteil der Milz, der sich aus den periarteriellen Lymphozytenscheiden und den Malpighischen Körperchen zusammensetzt.

Organ mit hoher Zelldichte, das durch eine Kapsel scharf von der Umgebung abgegrenzt ist. Die Kapsel kann an der Schnittkante präparationsbedingt fehlen. Im Innern erkennt man rundliche Gebilde mit hellem Zentrum und dunklem Rand (Malpighi-Körperchen = Milzknötchen), sowie große Gefäßanschnitte und Bindegewebstrabekel, die von der Kapsel ausgehend das Innere des Organs durchziehen. Die Milztrabekel enthalten neben kollagenen Fasern (hier grün gefärbt) und Fibrozyten auch Züge glatter Muskulatur (rötlich in den grünen Trabekeln). Die Zellkerne dieser glatten Muskelzellen sind - vor allem im Längsschnitt - an ihrer deutlichen Zigarrenform zu erkennen und von den dunkleren und zugespitzteren Fibrozytenkernen abzugrenzen. An oder in den bindegewebigen Trabekeln finden sich große Anschnitte der Äste der Vena und Arteria splenica (lienalis) (= Balkenvenen, -arterien). Die Äste der A. splenica setzen sich in die kleineren Pulpaarterien und dann in die Zentralarteriolen fort, die sich, oft exzentrisch, in jedem Milzknötchen finden. Ihre Lumina sind oft schwer zu erkennen. Jedoch sind diese Gefäße an ihrer kräftigen Tunica muscularis leicht als Arterien/Arteriolen zu identifizieren.

Im Gegensatz zum Lymphknoten ist kein Rinden- und Markbereich zu unterscheiden; die Milzknötchen sind gleichmäßig verteilt. Die Bereiche zwischen den Milzknötchen werden überwiegend von den sog. Milzsinus eingenommen. Sie würden in einem Präparat, bei dem das Blut vollständig aus der Milz ausgespült wurde, fast gänzlich "leer" erscheinen. Im Frischpräparat erscheinen sie rot (rote Pulpa der Milz). Im Gegensatz dazu findet sich in den Malpighischen Körperchen die Mehrzahl der Lymphozyten der Milz (weiße Pulpa).