Voriges Präparat Index Nächstes Präparat   [a] [b] [c] [d] [e] [f] [g]
 

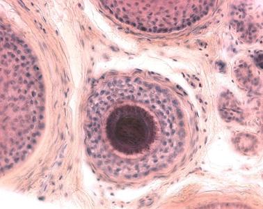
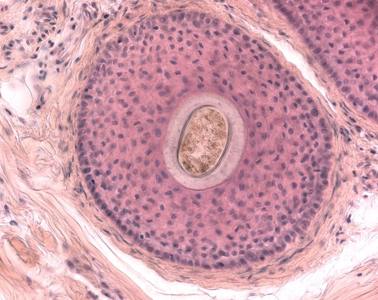
Präparat 98: Haare (Kopfhaut), Querschnitt, H.-E.

[Bild]
Cuticula pili

(Haarhäutchen). Sie bildet die äußerste Hülle des Haarschaftes, besteht aus dachziegelförmig angeordneten, miteinander verzahnten Zellen und ist von hartem Keratin bedeckt. Die freien Ränder der Keratinschuppen weisen in Richtung Follikelostium und sind beim gesunden Haar glatt begrenzt.

Die Cuticula pili mit ihrer gezackten Oberfläche grenzt den Haarschaft gegenüber der inneren Wurzelscheide ab.