Voriges Präparat Index Nächstes Präparat   [a] [b] [c] [d] [e] [f] [g]
 

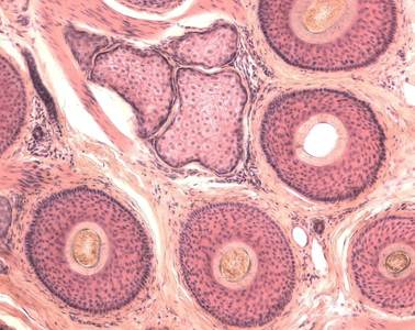
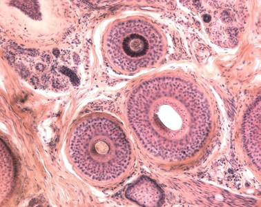
Präparat 98: Haare (Kopfhaut), Querschnitt, H.-E.

[Bild]
Glandulae sebacae pilorum

(Talgdrüsen) an Haarbälge gebundene, beeren- oder knollenförmige, mehrlappige Einzeldrüsen aus mehrschichtigem Epithel mit einer Größe von ca.1 mm. In der Drüsenperipherie kommt es durch zahlreiche Mitosen zur ständigen Neubildung von Sebozyten, sie gelangen zum Drüsenzentrum und wandeln sich hier und zum Haarschaft hin in Talg um. Es kommt zur holokrinen Sekretion. Ihr Sekret, der Haartalg, Sebum, macht Haut und Haare geschmeidig.

In der Nachbarschaft dieser Haarquerschnitte trifft man auf helle zelldichte und blasig aufgebaute Areale, die Anschnitten von Talgdrüsen entsprechen.