Voriges Präparat Index Nächstes Präparat   [a] [b] [c] [d] [e] [f] [g]
 

Präparat 98: Haare (Kopfhaut), Querschnitt, H.-E.

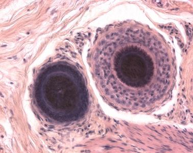
[Bild]
Glandulae sebacae pilorum

(Talgdrüsen) an Haarbälge gebundene, beeren- oder knollenförmige, mehrlappige Einzeldrüsen aus mehrschichtigem Epithel mit einer Größe von ca.1 mm. In der Drüsenperipherie kommt es durch zahlreiche Mitosen zur ständigen Neubildung von Sebozyten, sie gelangen zum Drüsenzentrum und wandeln sich hier und zum Haarschaft hin in Talg um. Es kommt zur holokrinen Sekretion. Ihr Sekret, der Haartalg, Sebum, macht Haut und Haare geschmeidig.

Haarwurzel

Anfangsteil des Haarschafts. Er wird von Wurzelscheiden umhüllt, diese bestehen aus zwei dem Haar zugewandten epithelialen Blättern und der außen gelegenen bindegewebigen Wurzelscheide, dem Haarbalg. Zur Befestigung des Haares in der epithelialen Wurzelscheide sind sowohl die Rinde der Haarwurzel als auch die epitheliale Wurzelscheiden von einer Cuticula bedeckt. Diese bestehen aus dachziegelförmig angeordneten, miteinander verzahnten Zellen.

Entsprechend der Beschreibung des Präparates 97 kann man drei Querschnittsetagen unterscheiden: (1) durch den Bulbus, (2) zwischen dem Bulbus und Einmündung der Talgdrüsen, also durch die Haarwurzel, und (3) zwischen der Einmündung der Talgdrüsen und der Oberfläche, also durch den Haarschaft.