| Voriges Präparat | Index | Nächstes Präparat | ![]() |
![]() |
![]() |
![]() |
|
|
|||
|
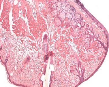
Glandulae sebacae pilorum
(Talgdrüsen) an Haarbälge gebundene, beeren- oder knollenförmige, mehrlappige Einzeldrüsen aus mehrschichtigem Epithel mit einer Größe von ca.1 mm. In der Drüsenperipherie kommt es durch zahlreiche Mitosen zur ständigen Neubildung von Sebozyten, sie gelangen zum Drüsenzentrum und wandeln sich hier und zum Haarschaft hin in Talg um. Es kommt zur holokrinen Sekretion. Ihr Sekret, der Haartalg, Sebum, macht Haut und Haare geschmeidig. |
||
|
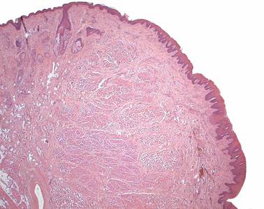
Die natürlichen Oberflächen des Organs werden von verschiedenen ineinander übergehenden Epithelien bedeckt. Im teils locker, teils dichten Bindegewebskörper des Lids befinden sich Anschnitte von Haaren, Talgdrüsen unterschiedlicher Größe und Lokalisation, große und kleine Arterien und Venen sowie Muskulatur. |
|||