Voriges Präparat Index Nächstes Präparat   [a] [b] [c] [d] [e] [f] [g]
 

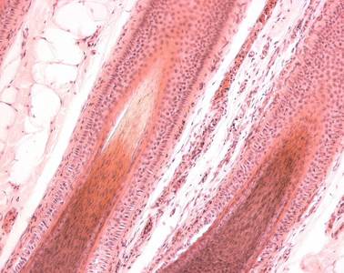
Präparat 97: Haare (Kopfhaut), Längsschnitt, H.-E.

[Bild]
Haartrichter

trichterförmige Erweiterung des Haarfollikels, hier münden die Talgdrüsen.

Scapus pili

(Haarschaft), vollständig verhornter Teil des Haares. Er besteht bei Terminalhaaren aus dem Mark (Medulla) und der breiteren Rinde (Cortex). Der in der Haut gelegene Teil des Haarschaftes wird umgeben von Cuticula, innerer und äußerer epithelialer Wurzelscheide sowie bindegewebiger Wurzelscheide.

Medulla pili

(Mark) innere Schicht des Haarschaftes mit Hohlräumen. Sie wird vom Cortex umschlossen und findet sich nur in Terminalhaaren; sie fehlt im Vellus.

Cortex pili

(Rinde) äußere, breite Schicht des Haares aus langen verhornten Zellen, in denen Tonofibrillen verbacken sind. Man kann die Rinde als fadenförmig umgestaltetes Stratum corneum betrachten.

Radix pili

Haarwurzel, geht aus der Haarzwiebel (Bulbus pili) hervor und ist noch nicht verhornt. Über die keratogene Zone geht die Haarwurzel in den verhornten Haarschaft über.

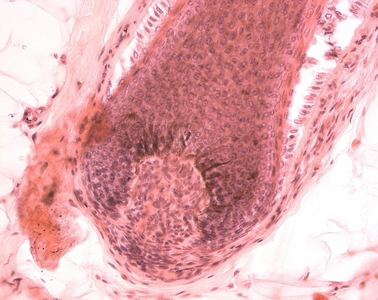
Bulbus pili

(Haarzwiebel) glockenförmige Auftreibung der Haarwurzel, die die bindegewebige Haarpapille umfaßt.

Subkutis

Unterhaut, Tela subcutanea; besteht aus lockerem Bindegewebe und univakuolärem Fettgewebe. Sie stellt die Verbindung zwischen Haut und oberflächlicher Körperfaszie her und gewährleistet die Verschieblichkeit der Haut. Die Subcutis enthält Vater-Pacinische Lamellenkörperchen.

Haarpapille

bindegewebige, gefäßreiche Papille, die sich von basal gegen den Haarbulbus vorwölbt und der Ernährung des Haares dient. Sie bildet zusammen mit der bindegewebigen und epithelialen Wurzelscheide den Haarfollikel.

Melanozyten

Aus der Neuralleiste stammende stark verzweigte Zellen, die im Stratum basale der Epidermis liegen und das braun-schwarze Pigment Melanin produzieren. Das Melanin wird in Form von Granula, den Melanosomen, abgegeben und von den benachbarten Keratinozyten per Endozytose aufgenommen und gespeichert. Melanozyten wandern auch von der bindegewebigen Haarpapille in die Haarzwiebel ein, wo sie Melanin an die Matrixzellen abgeben. Der Melaningehalt bestimmt die Haut- und Haarfarbe.

Cuticula pili

(Haarhäutchen). Sie bildet die äußerste Hülle des Haarschaftes, besteht aus dachziegelförmig angeordneten, miteinander verzahnten Zellen und ist von hartem Keratin bedeckt. Die freien Ränder der Keratinschuppen weisen in Richtung Follikelostium und sind beim gesunden Haar glatt begrenzt.

Der "freie" Teil des Haares, der aus dem Rohr des Trichters herausragt, besteht aus dem verhornten Haarschaft (Scapus pili). In diesem kann man bei Terminalhaaren ein helles Mark (Medulla pili) mit Hohlräumen und eine dickere Rinde, Cortex pili, unterscheiden. Der Haarschaft wird innerhalb der Haut von einer Wurzelscheide (Vagina radicularis) umgeben. Dieser Teil wird als Haarwurzel (Radix pili) bezeichnet. An der Wurzelscheide werden eine innere epitheliale, eine äußere epitheliale und eine bindegewebige Wurzelscheide unterschieden. Die epithelialen Wurzelscheiden gehen aus den Haarzwiebeln (Bulbus pilorum) hervor, die in der Subkutis liegen. Die Haarzwiebeln sind in den verschiedensten Ebenen geschnitten; im Optimalfall finden sich (lehrbuchmäßige) Längsschnitte, auf die sich die folgende Beschreibung bezieht. In die Haarzwiebel ragt eine bindegewebige Haarpapille mit Kapillaren. An der Grenze zwischen bindegewebiger Haarpapille und epithelialer Haarzwiebel liegen die fast homogen schwarzen, fortsatzreichen Melanozyten.

Das Haarwachstum geht von der Haarzwiebel (Haarbulbus) aus. An ihren basalen Abschnitten liegen Matrixzellen, aus denen sich die innere epitheliale Wurzelscheide entwickelt. Sie ist zweischichtig und reicht bis zur Einmündung der Talgdrüse. Nach außen liegt ihr die äußere Wurzelscheide auf, die sich kontinuierlich in die Epidermis fortsetzt. Zwischen der inneren epithelialen Wurzelscheide und der Rinde des Haarschaftes liegt die Cuticula pili (das Haarhäutchen), eine Schicht dachziegelförmig angeordneter Hornzellen.