Voriges Präparat Index Nächstes Präparat   [a] [b] [c] [d] [e] [f]
 

Präparat 96: Haut, Achselhöhle, H.-E.

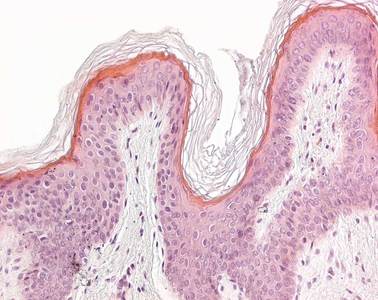
[Bild]
Mehrschichtiges verhorntes Plattenepithel

bildet die äußere Oberfläche der Haut. Zu differenzieren sind von basal (dem Bindegewebe zugewandt) nach apikal (der Oberfläche zugewandt) folgende Schichten: Stratum basale, Stratum spinosum, Stratum granulosum, Stratum lucidum und Stratum corneum. Stratum basale und Stratum spinosum dienen der Regeneration des Epithelverbandes und werden auch als Stratum germinativum zusammengefasst. Stratum granulosum und Stratum lucidum bilden die Verhornungsschicht. Das Stratum corneum ist die verhornte Schicht, hier haben die zellen ihre Zellkerne verloren und bilden Hornplatten.

Corium

Lederhaut, eine unter der Epidermis gelegene Schicht aus lockerem Bindegewebe mit retikulären, kollagenen und elastischen Fasern. Sie verleiht der Haut Reißfestigkeit und reversible Verformbarkeit. Die Lederhaut enthält Blut- und Lymphgefäße, Nervenaufzweigungen und Nervenendkörperchen sowie Bindegewebszellen und Zellen der Abwehr. Sie zeigt einen zweischichtigen Aufbau: Das Stratum papillare gewährleistet mit seinen Bindegewebspapillen die Verzahnung zwischen Corium und Epidermis. Das Stratum reticulare bildet die Fortsetzung des Papillarkörpers und grenzt an die Subkutis. Es enthält kollagene Fasern, die der Haut Reißfestigkeit verleihen und Netze aus elastischen Fasern, die für die Rückordnung des Fasergeflechtes sorgen.

Glandulae sebacae pilorum

(Talgdrüsen) an Haarbälge gebundene, beeren- oder knollenförmige, mehrlappige Einzeldrüsen aus mehrschichtigem Epithel mit einer Größe von ca.1 mm. In der Drüsenperipherie kommt es durch zahlreiche Mitosen zur ständigen Neubildung von Sebozyten, sie gelangen zum Drüsenzentrum und wandeln sich hier und zum Haarschaft hin in Talg um. Es kommt zur holokrinen Sekretion. Ihr Sekret, der Haartalg, Sebum, macht Haut und Haare geschmeidig.

Glandulae sudoriferae eccrinae

Schweißdrüsen, kommen in unterschiedlicher Dichte in nahezu allen Hautgebieten vor, sind tubulöse unverzweigte Drüsen, die bis an die Grenze von Dermis und Subkutis reichen. Die Enden sind zu einem Knäuel aufgewickelt, hier ist das Epithel einschichtig isoprismatisch. Sie weisen ein enges Lumen und Myopithelzellen auf, die sich zwischen Basallamina und Drüsenzellen befinden. Die Endstücke bestehen aus dunklen Zellen mit einem ekkrinen Sekretionsmodus und hellen Zellen mit stark gefalteter Zellmembran. Die Ausführungsgänge sind von zweischichtigem isoprismatischen Epithel ausgekleidet. Der in der Epidermis verlaufende Teil der Ausführungsgänge ist korkenzieherartig geschlängelt und weist keine eigenen Wandzellen auf. Das saure Sekret der Schweißdrüsen (pH 4,5) stellt ein Ultrafiltrat des Blutes dar, es hemmt das Bakterienwachstum, bildet auf der Haut einen Säureschutzmantel und dient durch Verdunsten der Wäremregulation.

Glandulae sudoriferae apocrinae

(Duftdrüsen) nur an wenigen Stellen, meist zusammen mit Haaren, auftretende verzweigte Drüsen, deren alveoläre Endstücke in der Subkutis zu finden sind. Das einschichtige Epithel der Endstücke, die zahlreiche Myoepithelzellen besitzen, variiert in der Höhe, häufig ragen kuppenförmige Vorstülpungen der Zelloberfläche ins Lumen. Der von einschichtigem Epithel ausgekleidete Ausführungsgang mündet in einen Haartrichter. Sonderformen der Duftdrüsen sind die Glandulae ceruminosae des äußeren Gehörgangs, die ein pigmenthaltiges, fettreiches Sekret, den Ohrenschmalz bilden und die Glandulae ciliares (Moll-Drüsen) des Augenlids.

Haarbalg

bindegewebige Wurzelscheide, die der inneren zweiblättrigen epithelialen Wurzelscheide aufliegt. Zwischen den beiden Wurzelscheiden findet sich eine deutliche Basalmembran in Form der Glashaut.

Haarwurzel

Anfangsteil des Haarschafts. Er wird von Wurzelscheiden umhüllt, diese bestehen aus zwei dem Haar zugewandten epithelialen Blättern und der außen gelegenen bindegewebigen Wurzelscheide, dem Haarbalg. Zur Befestigung des Haares in der epithelialen Wurzelscheide sind sowohl die Rinde der Haarwurzel als auch die epitheliale Wurzelscheiden von einer Cuticula bedeckt. Diese bestehen aus dachziegelförmig angeordneten, miteinander verzahnten Zellen.

Subkutis

Unterhaut, Tela subcutanea; besteht aus lockerem Bindegewebe und univakuolärem Fettgewebe. Sie stellt die Verbindung zwischen Haut und oberflächlicher Körperfaszie her und gewährleistet die Verschieblichkeit der Haut. Die Subcutis enthält Vater-Pacinische Lamellenkörperchen.

Eine natürliche, gefaltete Oberfläche ist von drei künstlichen Schnittflächen zu unterscheiden. Das Epithel ist verhornt und ragt mit seinen Zapfen in das Stratum papillare des Coriums (= Lederhaut) hinein. Im Corium sind die großen, dicht gepackten und blasig erscheinenden Zellen der holokrinen Talgdrüsen zu erkennen. An der Grenze zwischen Corium und Subkutis findet man die unverzweigten, kleinlumigen Drüsenschläuche der Schweißdrüsen. Daneben, etwas weiter in die Subkutis hinabragend, liegen die axillären Duftdrüsen. Angeschnittene Haarbälge und -wurzeln reichen von der Epidermis bis in die Tiefe der Subkutis hinab; der Aufbau der Haare ist an anderer Stelle (Präp. 97 und 98) ausführlich beschrieben.