Voriges Präparat Index Nächstes Präparat   [a] [b] [c] [d] [e] [f] [g]
 

Präparat 97: Haare (Kopfhaut), Längsschnitt, H.-E.

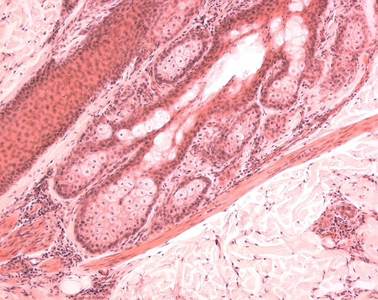
[Bild]
Glandulae sebacae pilorum

(Talgdrüsen) an Haarbälge gebundene, beeren- oder knollenförmige, mehrlappige Einzeldrüsen aus mehrschichtigem Epithel mit einer Größe von ca.1 mm. In der Drüsenperipherie kommt es durch zahlreiche Mitosen zur ständigen Neubildung von Sebozyten, sie gelangen zum Drüsenzentrum und wandeln sich hier und zum Haarschaft hin in Talg um. Es kommt zur holokrinen Sekretion. Ihr Sekret, der Haartalg, Sebum, macht Haut und Haare geschmeidig.

Musculus arrector pili

kleines Bündel glatter Muskelzellen, das auf der Seite, nach der das Haar geneigt ist, unterhalb der Talgdrüsenmündung entspringt. Er zieht dann schräg aufwärts unter die Epidermis und kann das Haar aufrichten (Haarsträuben, Gänsehaut durch Einziehen der Haut). Hierbei kommt es zur Komprimierung der zwischen Muskel und Wurzelscheide liegenden Talgdrüse.

Zu jedem Haar gehört eine Talgdrüse und ein M. arrector pili. Im Corium finden sich in der Nachbarschaft der Haartrichter Anschnitte der Talgdrüsen, die ihr Sekret in den jeweiligen Trichter entlassen, ebenso Anschnitte der Mm. arrectores pilorum, die knapp unterhalb der Talgdrüsen an der jeweiligen Haarwurzel entspringen.