Voriges Präparat Index Nächstes Präparat   [a] [b] [c] [d] [e] [f]
 

Präparat 96: Haut, Achselhöhle, H.-E.

[Bild]
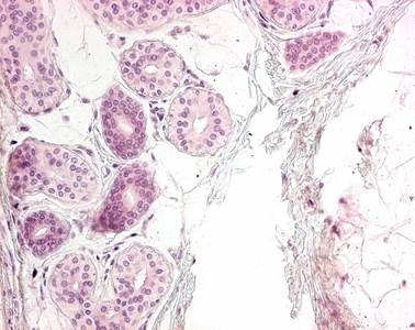
Glandulae sudoriferae eccrinae

Schweißdrüsen, kommen in unterschiedlicher Dichte in nahezu allen Hautgebieten vor, sind tubulöse unverzweigte Drüsen, die bis an die Grenze von Dermis und Subkutis reichen. Die Enden sind zu einem Knäuel aufgewickelt, hier ist das Epithel einschichtig isoprismatisch. Sie weisen ein enges Lumen und Myopithelzellen auf, die sich zwischen Basallamina und Drüsenzellen befinden. Die Endstücke bestehen aus dunklen Zellen mit einem ekkrinen Sekretionsmodus und hellen Zellen mit stark gefalteter Zellmembran. Die Ausführungsgänge sind von zweischichtigem isoprismatischen Epithel ausgekleidet. Der in der Epidermis verlaufende Teil der Ausführungsgänge ist korkenzieherartig geschlängelt und weist keine eigenen Wandzellen auf. Das saure Sekret der Schweißdrüsen (pH 4,5) stellt ein Ultrafiltrat des Blutes dar, es hemmt das Bakterienwachstum, bildet auf der Haut einen Säureschutzmantel und dient durch Verdunsten der Wäremregulation.

Kutis

Oberhaut, bestehend aus Epidermis und Corium. Die Epidermis ist die gefäßlose, äußerste Schicht der Haut, sie besteht aus mehrschichtigem verhorntem Plattenepithel und weist einen fünfschichtigen Aufbau auf. Das Corium enthält Blut- und Lymphgefäße, Nervenaufzweigungen und Nervenendkörperchen sowie Bindegewebszellen und Zellen der Abwehr. Es zeigt einen zweischichtigen Aufbau: Das Stratum papillare gewährleistet mit seinen Bindegewebspapillen die Verzahnung zwischen Corium und Epidermis. Das Stratum reticulare bildet die Fortsetzung des Papillarkörpers und grenzt an die Subkutis. Es enthält kollagene Fasern, die der Haut Reißfestigkeit verleihen und Netze aus elastischen Fasern, die für die Rückordnung des Fasergeflechtes sorgen.

Subkutis

Unterhaut, Tela subcutanea; besteht aus lockerem Bindegewebe und univakuolärem Fettgewebe. Sie stellt die Verbindung zwischen Haut und oberflächlicher Körperfaszie her und gewährleistet die Verschieblichkeit der Haut. Die Subcutis enthält Vater-Pacinische Lamellenkörperchen.

Basalmembran

Mit dem Begriff "Basalmembran" wird eine lichtmikroskopisch erkennbare Struktur zwischen einem Epithelverband und dem unterliegenden Bindegewebe bezeichnet. Sie ist nur dort zu erkennen, wo die Lamina fibroreticularis der Basallamina verstärkt ist.

Myoepithelzellen

den Endstücken einiger Drüsen (z.B. Speicheldrüsen, Brustdrüse) anliegende langgestreckte oder sternförmige Zellen mit zentral gelegenem Zellkern und langen Zytoplasmafortsätzen. Sie sind epithelialer Herkunft und kontraktil. Sie enthalten Aktin- und Myosinfilamente. Durch Desmosomen stehen sie in Kontakt mit den Drüsenzellen und umfangen das Drüsenendstück krakenförmig.

Stratum corneum

Hornschicht, äußerste Schicht des mehrschichtig verhornten Plattenepithels (Epidermis). Hier verbinden sich die nun komplett mit Keratin gefüllten und abgestorbenen Keratinozyten untereinander durch Kittsubstanz zu Platten, die als Hornschuppen abgestoßen werden.

Die sezernierenden Endstücke der ekkrinen (merokrinen) Schweißdrüsen (Glandulae sudoriferae merocrinae) bestehen aus gewundenen, verknäulten Tubuli. Sie sind an der Grenze zwischen Kutis und Subkutis zu finden. Das Epithel dieser Tubuli ist mehrreihig. Die Zellen sind relativ zytoplasmareich und hell. Im Epithelverband, unmittelbar auf der Basalmembran liegen die abgeflachten Zellkerne der Myoepithelzellen, die den Schweiß auspressen. Das Ausführungsgangsystem der Schweißdrüsen bestehen aus einem mehrschichtigen isoprismatischen Epithel, das ein kleines Lumen umschließt. Die Epithelzellen in diesen Gängen sind deutlich ärmer an Zytoplasma als die Zellen der sezernierenden Endstücke, sind also zelldichter und erscheinen in der H.-E. Färbung dunkler. Man kann die Anschnitte des Gangsystems bis zur Hautoberfläche verfolgen. Die Endstrecke im Stratum corneum besitzt keine Wandzellen.