Voriges Präparat Index Nächstes Präparat   [a] [b] [c] [d] [e] [f]
 

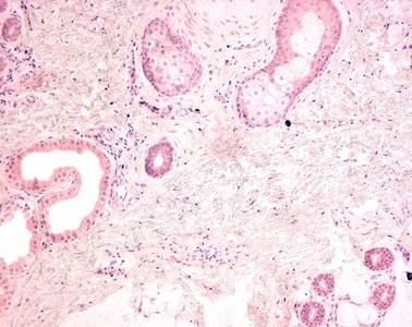
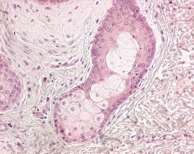
Präparat 96: Haut, Achselhöhle, H.-E.

[Bild]
Glandulae sebacae pilorum

(Talgdrüsen) an Haarbälge gebundene, beeren- oder knollenförmige, mehrlappige Einzeldrüsen aus mehrschichtigem Epithel mit einer Größe von ca.1 mm. In der Drüsenperipherie kommt es durch zahlreiche Mitosen zur ständigen Neubildung von Sebozyten, sie gelangen zum Drüsenzentrum und wandeln sich hier und zum Haarschaft hin in Talg um. Es kommt zur holokrinen Sekretion. Ihr Sekret, der Haartalg, Sebum, macht Haut und Haare geschmeidig.

Glandulae sudoriferae apocrinae

(Duftdrüsen) nur an wenigen Stellen, meist zusammen mit Haaren, auftretende verzweigte Drüsen, deren alveoläre Endstücke in der Subkutis zu finden sind. Das einschichtige Epithel der Endstücke, die zahlreiche Myoepithelzellen besitzen, variiert in der Höhe, häufig ragen kuppenförmige Vorstülpungen der Zelloberfläche ins Lumen. Der von einschichtigem Epithel ausgekleidete Ausführungsgang mündet in einen Haartrichter. Sonderformen der Duftdrüsen sind die Glandulae ceruminosae des äußeren Gehörgangs, die ein pigmenthaltiges, fettreiches Sekret, den Ohrenschmalz bilden und die Glandulae ciliares (Moll-Drüsen) des Augenlids.

Glandulae sudoriferae eccrinae

Schweißdrüsen, kommen in unterschiedlicher Dichte in nahezu allen Hautgebieten vor, sind tubulöse unverzweigte Drüsen, die bis an die Grenze von Dermis und Subkutis reichen. Die Enden sind zu einem Knäuel aufgewickelt, hier ist das Epithel einschichtig isoprismatisch. Sie weisen ein enges Lumen und Myopithelzellen auf, die sich zwischen Basallamina und Drüsenzellen befinden. Die Endstücke bestehen aus dunklen Zellen mit einem ekkrinen Sekretionsmodus und hellen Zellen mit stark gefalteter Zellmembran. Die Ausführungsgänge sind von zweischichtigem isoprismatischen Epithel ausgekleidet. Der in der Epidermis verlaufende Teil der Ausführungsgänge ist korkenzieherartig geschlängelt und weist keine eigenen Wandzellen auf. Das saure Sekret der Schweißdrüsen (pH 4,5) stellt ein Ultrafiltrat des Blutes dar, es hemmt das Bakterienwachstum, bildet auf der Haut einen Säureschutzmantel und dient durch Verdunsten der Wäremregulation.

Im Präparat sind drei verschieden Drüsentypen zu beobachten: holokrine Talgdrüsen, apokrine Duftdrüsen und ekkrine (=merokrine) Schweißdrüsen.