| Voriges Präparat | Index | Nächstes Präparat | ![]() |
![]() |
![]() |
![]() |
![]() |
![]() |
![]() |
![]() |
|
![]() |
![]() |
|
|||
|
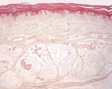
Epidermis
gefäßlose, äußerste Schicht der Haut, besteht aus mehrschichtigem verhornten Plattenepithel, das einen fünfschichtigen Aufbau zeigt: Stratum basale, Stratum spinosum (Stratum basale und Stratum spinosum bilden gemeinsam das Stratum germinativum, die Regenerationsschicht der Haut), Stratum granulosum, Stratum lucidum (Str. granulosum und Str. lucidum bilden die Verhornungsschicht), Stratum corneum (Hornschicht).
Corium
Lederhaut, eine unter der Epidermis gelegene Schicht aus lockerem Bindegewebe mit retikulären, kollagenen und elastischen Fasern. Sie verleiht der Haut Reißfestigkeit und reversible Verformbarkeit. Die Lederhaut enthält Blut- und Lymphgefäße, Nervenaufzweigungen und Nervenendkörperchen sowie Bindegewebszellen und Zellen der Abwehr. Sie zeigt einen zweischichtigen Aufbau: Das Stratum papillare gewährleistet mit seinen Bindegewebspapillen die Verzahnung zwischen Corium und Epidermis. Das Stratum reticulare bildet die Fortsetzung des Papillarkörpers und grenzt an die Subkutis. Es enthält kollagene Fasern, die der Haut Reißfestigkeit verleihen und Netze aus elastischen Fasern, die für die Rückordnung des Fasergeflechtes sorgen.
Stratum papillare corii
Das Stratum papillare gewährleistet mit seinen als Bindegewebspapillen ausscherenden Kollagenfaserzügen die Verzahnung zwischen Corium und Epidermis.
Stratum reticulare corii
das Stratum reticulare bindet die Fortsetzung des Papillarkörpers und grenzt an die Subcutis. Es besteht aus durchflochtenen Bündeln kollagener Fasern, die der Haut Reißfestigkeit verleihen und aus elastischen Netzen, die für die Rückordnung des Fasergeflechts sorgen.
Bindegewebspapillen
bindegewebige Auffaltungen, die in einen mehrschichtigen Epithelverband hinein ragen, dienen der Verzahnung zwischen Epithel und Bindegewebe.
Subkutis
Unterhaut, Tela subcutanea; besteht aus lockerem Bindegewebe und univakuolärem Fettgewebe. Sie stellt die Verbindung zwischen Haut und oberflächlicher Körperfaszie her und gewährleistet die Verschieblichkeit der Haut. Die Subcutis enthält Vater-Pacinische Lamellenkörperchen. |
||
|
In der Übersicht sind die Schichten der Haut erkennbar. Die oberflächlichste Lage ist die Epidermis. Darunter liegt die Lederhaut mit Stratum papillare und Stratum reticulare. Das Stratum papillare ist durch Bindegewebspapillen gekennzeichnet. Unter der Lederhaut (Corium) liegt die Subkutis. |
|||