Voriges Präparat Index Nächstes Präparat   [a] [b] [c] [d]
 

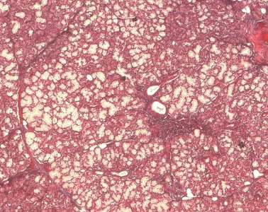
Präparat 43: Glandula submandibularis (Mensch), Azan

[Bild]
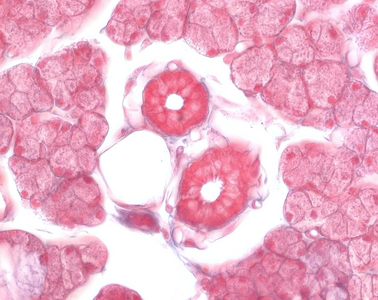
Streifenstücke

Sekret-, Speichelrohr, Abschnitt des Ausführungsgangsystems der Mundspeicheldrüsen (Gl. parotidea, Gl. submandibularis, Gl. sublingualis). Sie zeigen eine charakteristische basale Streifung, die auf (nur elektronenmikroskopisch erkennbaren!) Einfaltungen der basalen Zellmembran und zahlreiche, pallisadenförmig angeordnete Mitochondrien zurückzuführen ist. Streifenstücke besitzen ein einschichtiges iso- bis hochprismatisches Epithel und liegen innerhalb der Drüsenläppchen. In ihnen findet wird die Sekretzusammensetzung durch aktive Prozesse verändert.

Basale Streifung

entsteht im lichtmikroskopischen Bild durch Einfaltung der basalen Zellmembran und zahlreiche, pallisadenartig angeordnete Mitochondrien in den Epithelzellen der Streifenstücke.

Glandula submandibularis

Unterkieferdrüse, gemischte seromuköse Drüse, deren Ausführungsgang auf der Caruncula sublingualis unmittelbar neben dem Frenulum linguae in die Mundhöhle endet. Sie weist überwiegend seröse Endstücke auf, den seltenen mukösen Tubuli sitzen seröse Endstücke in Form von Ebner-Halbmonden auf.

Die Streifenstücke sind so intensiv rot gefärbt, dass man ihre basale Streifung kaum erkennen kann.

DD: Eine Verwechslung mit anderen Mundspeicheldrüsen, besonders der Glandula sublingualis ist möglich. Typisch für die Glandula submandibularis: gemischt seromuköse Drüse mit Überwiegen der serösen Anteile.