Voriges Präparat Index Nächstes Präparat   [a] [b] [c] [d] [e]
 

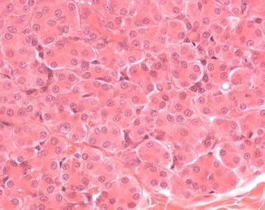
Präparat 42: Glandula parotidea, H.-E.

[Bild]
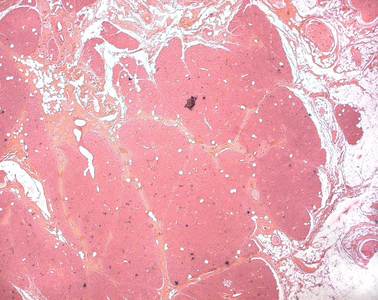
Lobus

Lappen, häufig werden Organe von aus der Kapsel einstrahlenden, mehr oder weniger derben Bindegewebszügen in Lappen und/oder Läppchen unterteilt.

Lobulus

Läppchen, häufig werden Organe von aus der Kapsel einstrahlenden, mehr oder weniger derben Bindegewebszügen in Lappen und/oder Läppchen unterteilt.

Interlobuläres Bindegewebe- exkretorische Drüse

von der Kapsel einstrahlende Bindegewebszüge, die die Drüse in Läppchen unterteilen, hier verlaufen die Ductus interlobulares und interlobares, bevor sie sich in einen Ductus excretorius fortsetzen.

Univakuoläre Fettzellen

Adipozyten; bilden das weiße Fettgewebe. Jede Fettzelle enthält einen einzigen großen membranlosen Fetttropfen. Wird das Gewebe für histologische Routineuntersuchungen in Paraffin eingebettet, löst sich das Fett aus diesem Tropfen und es entsteht eine einzige, große Fettvakuole. Zellkern und Zytoplasma werden durch den Fetttropfen an den Zellrand gedrängt, es entsteht das Bild der Siegelringform der Fettzelle.

Ausführungsgänge

Verbindungen von exokrinen Drüsen mit inneren oder äußeren Oberflächen

Zelldichte, dunklere Bereiche werden durch hellere Bindegewebszüge in Lobi und Lobuli gegliedert. In den Lobuli und im interlobulären Bindegewebe sind zahlreiche kleine "Löcher" zu erkennen: große univakuoläre Fettzellen und Anschnitte des Ausführungsgangsystems der Drüse.