Voriges Präparat Index Nächstes Präparat   [a] [b] [c] [d]
 

Präparat 43: Glandula submandibularis (Mensch), Azan

[Bild]
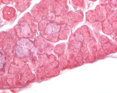
Seröser Azinus

kugelförmiges Drüsenendstück; es besteht aus Drüsenzellen, die von einer Basallamina umgeben sind. Häufig finden sich basal im Epithelverband Myoepithelzellen mit kontraktilen Filamenten. Die Drüsenzellen weisen eine polare Gliederung auf: Basal finden sich die für die Sekretbildung benötigten Zellorganellen, hier erfolgt außerdem die Aufnahme der erforderlichen Stoffe aus dem Blut. Apikal wird das Sekret in das enge, häufig im Lichtmikroskop kaum erkennbare Lumen des Azinus abgegeben.

Von Ebner-Halbmonde

Semilunare serosae; seröse Endstücke; seröse Drüsenzellen in gemischten Drüsen, die den mukösen Endstücken kappenförmig aufsitzen.

Von Ebner-Halbmonde

Semilunare serosae; seröse Endstücke; seröse Drüsenzellen in gemischten Drüsen, die den mukösen Endstücken kappenförmig aufsitzen.

Die serösen Azini sitzen den mukösen Drüsenabschnitten als seröse Halbmonde auf.