Voriges Präparat Index Nächstes Präparat   [a] [b] [c] [d]
 

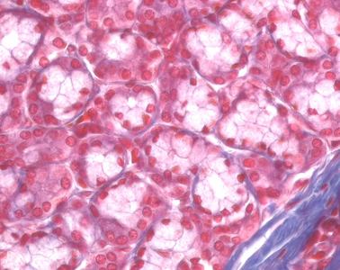
Präparat 44: Glandula sublingualis, Azan

[Bild]
Lobulus

Läppchen, häufig werden Organe von aus der Kapsel einstrahlenden, mehr oder weniger derben Bindegewebszügen in Lappen und/oder Läppchen unterteilt.

Interlobuläres Bindegewebe- exkretorische Drüse

von der Kapsel einstrahlende Bindegewebszüge, die die Drüse in Läppchen unterteilen, hier verlaufen die Ductus interlobulares und interlobares, bevor sie sich in einen Ductus excretorius fortsetzen.

Ausführungsgänge

Verbindungen von exokrinen Drüsen mit inneren oder äußeren Oberflächen

Das Drüsengewebe wird durch Bindegewebszüge in Lobi und Lobuli gegliedert. Im Drüsengewebe (-parenchym) fallen hellere Bereiche auf; hier liegen die mukösen Drüsenabschnitte, die in der mukoserösen Gl. sublingualis wesentlich stärker ausgebildet sind als in der seromukösen Gl. submandibularis. Im interlobulären Bindegewebe liegen weitlumige Anschnitte von Arterien und Venen und Ausführungsgängen.