Voriges Präparat Index Nächstes Präparat   [a] [b] [c] [d] [e] [f]
 

Präparat 50: Zunge, Papillae vallatae, H.-E.

[Bild]
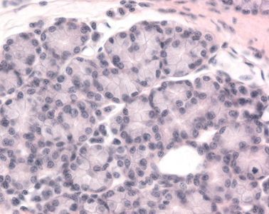
Von Ebner-Spüldrüsen

Glandulae gustatoriae; seröse Drüsen, deren Ausführungsgänge in den Gräben der Papillae vallatae und foliatae münden.

Die Azini der von Ebner-Spüldrüsen bestehen aus dicht gepackten Zellen, die häufig ein kleines Lumen umschließen. Gelegentlich sind innerhalb des Drüsenparenchyms Hohlräume sichtbar, die von univakuolären Fettzellen hinterlassen wurden. Die Spüldrüsen sind rein serös.