Voriges Präparat Index Nächstes Präparat   [a] [b] [c] [d] [e] [f]
 

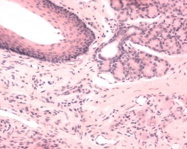
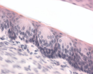
Präparat 50: Zunge, Papillae vallatae, H.-E.

[Bild]

Dieser Ausschnitt zeigt den Boden des Wallgrabens mit dem mehrschichtig unverhornten Plattenepithel und der Lamina propria. In der rechten oberen Ecke liegen die Endstücke und ein Ausführungsgang einer serösen Spüldrüse, im Bildbereich unten rechts sind drei Nervenzellen angeschnitten.