Voriges Präparat Index Nächstes Präparat   [a] [b] [c] [d] [e] [f]
 

Präparat 50: Zunge, Papillae vallatae, H.-E.

[Bild]
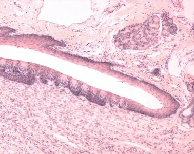
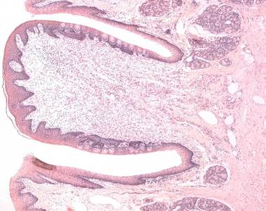
Papilla vallata

Wallpapille; mit 1-3 mm Durchmesser stellt dieser Typ die größten Zungenpapillen dar. Man findet auf der Zunge 6-12 Papillae vallatae, die um den Sulcus terminalis angeordnet sind. In den Boden ihrer tiefen Gräben münden die Ausführungsgänge seröser Spüldrüsen. Im Epithel, das an die Wallgräben grenzt, liegen zahlreiche Geschmacksknospen.

Mehrschichtig unverhorntes Plattenepithel

Epithel innerer Körperoberflächen, die starken mechanischen Belastungen ausgesetzt sind, z.B. Mundhöhle, Ösophagus, Analkanals und Vagina. Es besteht aus mehreren Schichten, deren Zellen unterschiedliche Formen besitzen: Die Zellen des Stratum basale sind hochprismatisch, relativ klein und dicht gepackt, die Zellen des Stratum spinosum sind polygonal geformt und besitzen stachelig erscheinende Ausläufer (daher der Begriff „Stachelzellschicht“. Die Basalzellschicht und die „Stachelzellschicht bilden zusammen die Proliferationszellschicht. Von der Basalzellschicht aus wandern die Zellen an die Oberfläche und verändern dabei ihre Form. Die Zellen der Superfzialschicht sind abgeplattet (daher Plattenepithel). Die Zellkerne sind gut erhalten und bis in die obersten Zellschichten zu erkennen. Das Plattenepithel ist durch Bindegewebspapillen eng mit der Lamina propria verzahnt.

Der generelle Aufbau der Zunge wurde bei Präparat 49 dargestellt. Hier sollen die Papillae vallatae besprochen werden. Sie sind die größten Zungenpapillen und bereits makroskopisch erkennbar. Sie sind von einem tiefen Graben umgeben, ihre Oberfläche bedeckt ein mehrschichtiges unverhorntes Plattenepithel. In den seitlichen, die Gräben begrenzenden Papillenwänden liegen Geschmacksknospen, die bereits in der Übersicht als helle Bezirke im Epithel auffallen. Am Boden der tiefen Gräben münden seröse Spüldrüsen.