Voriges Präparat Index Nächstes Präparat   [a] [b] [c] [d]
 

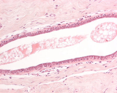
Präparat 84a: Mamma, nicht laktierend, Milchgang, H.-E.

[Bild]
Ductus lactiferi

Ausführungsgänge der Lobuli (Läppchen) der Brustdrüse, die von ein- bis zweischichtigem Epithel ausgekleidet sind und in die Ductus lactiferi colligentes münden.

Die Ductus lactiferi (Milchgänge) liegen isoliert im relativ derben Bindegewebe, sie tragen ein zweischichtiges isoprismatisches bis flaches Epithel, in ihrer Wand befinden sich wie bei den Drüsenendstücken Myoepithelzellen. Das Epithel der Ductus lactiferi ruht auf einer zarten Lamina propria.

DD: Andere exokrine Drüsen. Typisch für die nicht laktierende Mamma: isolierte Lobuli mit Drüsenendstücken, die Myoepithelzellen enthalten und von lockerem, zellreichem intralobulärem Bindegewebe umgeben sind; Anschnitte der Ductus lactiferi mit zweischichtigem Epithel und Myoepithelzellen.