Voriges Präparat Index Nächstes Präparat   [a] [b] [c] [d]
 

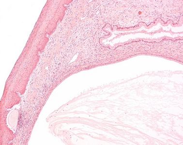
Präparat 83: Portio / Vagina, H.-E.

[Bild]
Vagina

Scheide; 6-8cm langes und 2-3 cm breites muskulär-bindegewebiges Hohlorgan, dessen Wand aus miteinander verflochtener glatter Muskulatur und Bindegewebe besteht. Die vorzugsweise quer verlaufenden Muskelbündel bilden ein dehnbares Maschenwerk und gehen zum Teil direkt in die Muskulatur von Uterus und Damm über. Das Bindegewebe enthält ein Netzwerk aus elastischen Fasern und scherengitterförmig angeordneten Kollagenfaserzügen. Die Vagina ist mit mehrschichtigem unverhorntem Plattenepithel ausgekleidet, das sich scharf von der Zervixschleimhaut absetzt.

Ovula Nabothi

Retentionszysten im Bereich der Portio vaginalis. Die als Naboth-Eierchen bekannten Zysten entstehen durch Überwachsen von Drüsen der Zervixschleimhaut mit dem mehrschichtigen unverhornten Plattenepithel der Vagina. Der Sekretstau führt zur Bildung von Zysten mit einem gelb-weißlich erscheinenden, schleimigen Inhalt.

Das Präparat zeigt einen gekrümmten Wandabschnitt zweier ineinander übergehender Organe mit unterschiedlichen Oberflächenepithelien. In der Vagina (links) befindet sich mehrschichtiges unverhorntes Plattenepithel, im Uterus ein einschichtiges hochprismatisches Epithel mit Drüsen. Im Übergangsbereich zwischen Uterus und Vagina liegen unter dem Epithel gelegentlich (hier abgebildet) bereits makroskopisch erkennbare Hohlräume: Ovula Nabothi (Nabothsche Eierchen, sie wurden von Martin Naboth fälschlicherweise für die Oozyten des Menschen gehalten).