Voriges Präparat Index Nächstes Präparat   [a] [b] [c] [d]
 

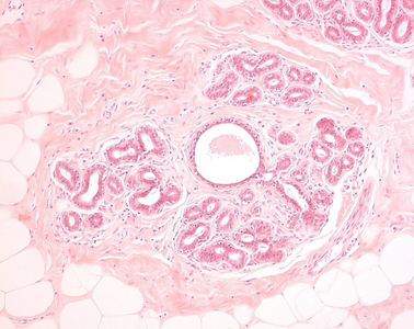
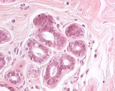
Präparat 84a: Mamma, nicht laktierend, Drüsenläppchen, H.-E.

[Bild]

Die tubulösen Endstücke in den Drüsenläppchen enthalten isoprismatische Epithelzellen, die sich um ein oft kleines, aber meist deutlich erkennbares zentrales Lumen gruppieren. In unmittelbarer Umgebung der Drüsenendstücke befindet sich zellreiches, lockeres Bindegewebe (intralobuläres Bindegewebe). In der Läppchenperipherie ist das Bindegewebe zellärmer und reicher an Kollagenfasern (interlobuläres Bindegewebe). In der laktierenden Mamma tritt das Drüsengewebe gegenüber dem Bindegewebe in den Vordergrund, die Endabschnitte der Drüsentubuli erweitern sich; es entsteht das Bild einer tubuloalveolären Drüse; die im Ruhezustand isoprismatischen Epithelzellen werden in der laktierenden Brustdrüse hochprismatisch und enthalten zahlreiche (milchfettgefüllte) Vakuolen.