| Voriges Präparat | Index | Nächstes Präparat | ![]() |
![]() |
![]() |
![]() |
![]() |
![]() |
|
|
|||
|
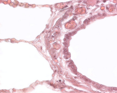
Respiratorisches Epithel
Flimmerepithel; mehrreihiges, hochprismatisches Epithel, dessen Zellen mit zahlreichen Kinozilien ausgestattet sind. Zwischen den Epithelzellen finden sich zahlreiche schleimbildende Becherzellen. Im Bereich der Bronchien enthält das Epithel neuroendokrine Zellen und Sinneszellen, die Bronchioli weisen sekretorische Clara-Zellen auf, deren Sekret Lipoproteine, Glykoproteine und Enzyme enthält.
Becherzellen
Becherzellen sind unizelluläre, schleimproduzierende Drüsen, die zwischen den Säulenepithelzellen des Respirationstraktes und des Darms vorkommen. Sie machen in den Bronchien etwa 10 % der Epithelzellen aus. Sie produzieren hoch visköse Muzine, wesentliche Bestandteile der oberflächlichen Schleimschicht. Bei Rauchern ist ihre Anzahl erhöht.
Basalkörperchen
Kinetosom; Verankerung eines Kinoziliums in der Zelle. In kinozilienreichen Zellen stehen sie so eng beieinander, daß sie sich lichtmikroskopisch als Kinetosomensaum darstellen. |
||
|
Die Bronchien sind mit einem zweireihigen, hochprismatischen, Kinozilien tragenden Epithel (Flimmerepithel, respiratorisches Epithel) und schleimbildenden Becherzellen ausgekleidet. Bei stärkerer Vergrößerung ist der Kinetosomensaum unterhalb der Zilien zu sehen. Die Höhe des Epithels nimmt nach distal (in Richtung auf die Alveolen) ab. |
|||