Voriges Präparat Index Nächstes Präparat   [a] [b] [c] [d] [e] [f]
 

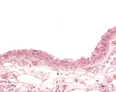
Präparat 69: Lunge, H.-E.

[Bild]
Bronchus

Ast des Bronchialbaums; aus der Trachea gehen an der Bifurcatio tracheae zunächst der Bronchus principalis dexter und sinister hervor, die sich in die Bronchi lobares fortsetzen, deren Anzahl jeweils der Anzahl der Lungenlappen entspricht. Diese verzweigen sich zu den Bronchi segmentales, aus denen schließlich die Bronchioli und Bronchioli terminales hervorgehen. Alle Bronchi weisen prinzipiell den gleichen Wandbau wie die Trachea auf, sie gehören zu den luftleitenden Abschnitten der Atemwege.

Glandulae bronchiales

seromuköse Drüsen in der Lamina propria der Bronchi

A. pulmonalis

Die beiden Aa. pulmonales gehen aus dem Truncus pulmonalis hervor, eine jede tritt in das Hilum pulmonis ein und schließt sich im weiteren Verlauf den Verzweigungen des Bronchialbaums an, wobei sie bis zu ihren Kapillarverzerigungen in den Alveolarwänden keine Äste abgeben. Als Vasa publica stehen sie im Dienst des gesamten Organismus und führen das CO2-reiche Blut aus dem Körperkreislauf der Lunge zu.

Vasa bronchialia

gehören zur Vasa privata der Lunge. Es sind Gefäße des großen Kreislaufs, die der Versorgung der luftleitenden Abschnitte der Lunge mit Sauerstoff dienen. Die arteriellen Rr. bronchiales entspringen der Pars thoracicae aortae bzw. der 3. Interkostalarterie und verlaufen im adventitiellen Bindegewebe der Bronchien und Bronchiolen, die sie mit Blut versorgen. Die Zellen der Septa interalveolaria decken ihren Sauerstoffbedarf direkt aus der Alveolarluft. Aus einem Venenplexus im peribronchialen Bindegewebe gehen die Vv. bronchiales hervor, sie münden in die V. azygos bzw. die V. hemiazygos.

Lamina propria mucosae

liegt zwischen Lamina epithelialis und Lamina muscularis der Tunica mucosa, besteht aus lockerem Bindegewebe. In ihr finden sich zahlreiche Blut- und Lymphkapillaren sowie viele freie Zellen der Abwehr, z.B. Makrophagen and Lymphfollikel.

Lymphfollikel

Folliculi lymphoidei; hochorganisierte Ansammlungen von Lymphozyten. Sie stellen charakteristische Bestandteile der meisten lymphatischen Organe dar, treten als Solitärfollikel einzeln auf oder können sich zu Folliculi lymphoidei aggregati anhäufen. Man unterscheidet Primärfollikel, bei denen gleichförmige kleine Lymphozyten etwa gleich dicht verteilt liegen, von Sekundärfollikeln, die eine zentrale Aufhellung und eine lymphozytenreiche Randzone aufweisen. Die zentrale Aufhellung wird als Keim- oder Reaktionszentrum bezeichnet und entsteht durch Abwehrreaktionen gegen Antigene.

Makrophagen

Bestandteile des Abwehrsystems; Abkömmlinge der Monozyten. Nach ihrer Reifung im Knochenmark und anschließender Zirkulation im Blutkreislauf wandern sie in verschiedene Gewebe ein und differenzieren sich dort zu ortsständigen, gewebetypischen Makrophagen. Mobile Makrophagen können gemeinsam mit Granulozyten in Entzündungsherde eindringen. Makrophagen phagozytieren körperfremde Substanzen und bauen diese z.T. in Phagolysosmen enzymatisch ab, z.T. verweilen diese Stoffe auch in der Zelle, ohne abgebaut zu werden. Sie dienen der Induktion und Regulation von Entzündungsreaktionen, der Gewebereorganisation und Organheilung; außerdem der Immuninduktion und Stimulation von Lymphozyten.

Ganglienzelle

Nervenzelle (Neuron) in einem peripheren Ganglion. Vom Zellleib (Perikaryon) der Nervenzellen gehen unterschiedliche Fortsätze ab: Dendriten, die der Nervenzelle Informationen von anderen Nervenzellen vermitteln und ein Axon, das die Erregung der Nervenzelle an Zielzellen (andere Nervenzellen, Musklukatur, Drüsenzellen) vermittelt. Nach Anzahl und Art ihrer Fortsätze lassen sich multipolare, bipolare oder pseudounipolare Neurone unterscheiden. Bei multipolaren Neurone gehen mehrere Dendriten und ein Axon vom Perikaryon ab, bipolare Neurone haben neben dem Axon nur einen Dendritenstamm. Ein Sonderfall sind die pseudounipolaren Nervenzellen, die z. B. im Spinalganglion vorkommen. Hier entspringt vom Perikaryon nur ein einziger Fortsatz, der sich kurz nach Abgang vom Perikaryon in einen peripheren und einen zentralen Fortsatz aufzweigt. Nach Funktion und Ultrastruktur sind die peripheren und zentralen Fortsätze der pseudounipolaren Ganglienzellen Axone.

Satellitenzelle

Gliazellen in peripheren Ganglien, auch als Mantelzelle bezeichnet, umgibt der Perikaryon der Ganglienzellen, eng verwandt mit Schwann-Zellen, die im peripheren Nerven vorkommen und dort die Axone umhüllen.

Der Bronchus hat eine Tunica mucosa mit respiratorischem Epithel (Flimmerepithel), das einer Lamina propria aufsitzt. Außen schließt sich die Lamina fibromusculocartilaginea mit Bindegewebe, glatter Muskulatur und Platten aus hyalinem Knorpel an. Der Nachweis von Knorpel ist entschiedend für die Diagnose "Bronchus", in den Bronchioli fehlen die Knorpelplatten. Kleine seromuköse Glandulae bronchiales kommen in den Bronchien, aber nicht in den Bronchioli vor. In der Nachbarschaft der Bronchien findet man Anschnitte von Ästen der A. pulmonalis und der kleineren Vasa bronchialia (Vasa privata der Lunge).

In der Lamina propria sind viellerorts dichte Ansammlungen lymphatischer Zellen anzutreffen. Auch finden sich dort viele mit Staub und Ruß beladene Makrophagen. enthalten. Die gealterte Lunge erhält so eine Schwarzfärbung, die makroskopisch als Anthrakose der Lunge imponiert. Kleine Gruppen von Ganglienzellen des autonomen Nervensystems, umlagert von Satellitenzellen, können in der Nähe der Knorpelplatten beobachtet werden.