Voriges Präparat Index Nächstes Präparat   [a] [b] [c]
 

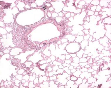
Präparat 70: Lunge, Blutgefäße, Darstellung durch Injektion von Tusche, Gegenfärbung mit Kernechtrot

[Bild]
V. pulmonalis

gehört zur Vasa publica der Lunge. Sie führt das mit Sauerstoff angereicherte Blut zum linken Vorhof des Herzens; innerhalb der Lunge verlaufen die Zuflüsse zu den Vv. pulmonales getrennt von Bronchien und Arterien zwischen den Segmenten (intersegmental).

A. pulmonalis

Die beiden Aa. pulmonales gehen aus dem Truncus pulmonalis hervor, eine jede tritt in das Hilum pulmonis ein und schließt sich im weiteren Verlauf den Verzweigungen des Bronchialbaums an, wobei sie bis zu ihren Kapillarverzerigungen in den Alveolarwänden keine Äste abgeben. Als Vasa publica stehen sie im Dienst des gesamten Organismus und führen das CO2-reiche Blut aus dem Körperkreislauf der Lunge zu.

Bronchus

Ast des Bronchialbaums; aus der Trachea gehen an der Bifurcatio tracheae zunächst der Bronchus principalis dexter und sinister hervor, die sich in die Bronchi lobares fortsetzen, deren Anzahl jeweils der Anzahl der Lungenlappen entspricht. Diese verzweigen sich zu den Bronchi segmentales, aus denen schließlich die Bronchioli und Bronchioli terminales hervorgehen. Alle Bronchi weisen prinzipiell den gleichen Wandbau wie die Trachea auf, sie gehören zu den luftleitenden Abschnitten der Atemwege.

Bronchiolus

aus den Bronchi segmentales hervorgehende Verzweigungen des Bronchialbaums mit einem Durchmesser von mehr als 1 mm. In ihren Wänden fehlen sowohl Knorpel als auch die Drüsen, das Flimmerepithel wird niedriger und schließlich isoprismatisch. Die spiralförmig angeordnete glatte Muskulatur nimmt zu. Im histologischen Präparat zeigen sie häufig ein sternförmiges Lumen. Die letzten Anteile des luftleitenden Systems sind die Bronchioli terminales, aus ihnen gehen die Bronchioli respiratorii hervor; hier beginnt der respiratorische Teil der Lunge.

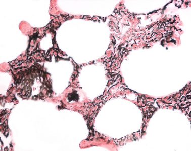
In diesem Präparat wurde das Gefäßsystem der Lunge dargestellt durch Injektion von Tusche in die großen Gefäße. Das Lungenparenchym wurde durch Gegenfärbung mit Kernechtrot sichtbar gemacht. Zu erkennen sind tuschegefüllte Lungenvenen, Vv. pulmonales (einzeln im Parenchym verlaufend), Lungenarterien, Aa. pulmonales (in der Nachbarschaft der Bronchi und Bronchioli) und die Kapillaren in Interalveolarsepten.