Voriges Präparat Index Nächstes Präparat   [a] [b] [c] [d]
 

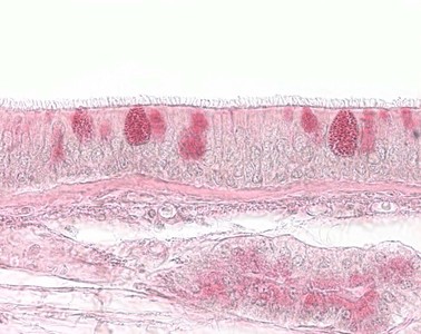
Präparat 6: Trachea (Affe), Querschnitt, PAS-Färbung

[Bild]
Respiratorisches Epithel

Flimmerepithel; mehrreihiges, hochprismatisches Epithel, dessen Zellen mit zahlreichen Kinozilien ausgestattet sind. Zwischen den Epithelzellen finden sich zahlreiche schleimbildende Becherzellen. Im Bereich der Bronchien enthält das Epithel neuroendokrine Zellen und Sinneszellen, die Bronchioli weisen sekretorische Clara-Zellen auf, deren Sekret Lipoproteine, Glykoproteine und Enzyme enthält.

Becherzellen

Becherzellen sind unizelluläre, schleimproduzierende Drüsen, die zwischen den Säulenepithelzellen des Respirationstraktes und des Darms vorkommen. Sie machen in den Bronchien etwa 10 % der Epithelzellen aus. Sie produzieren hoch visköse Muzine, wesentliche Bestandteile der oberflächlichen Schleimschicht. Bei Rauchern ist ihre Anzahl erhöht.

Kinozilien

zylindrische 0,2 µm dicke und meist 2-5 µm lange Differenzierungen der Zelloberfläche, die einzeln oder in büschel- und rasenförmigen Verbänden (Kinoziliensaum) auf der Zelloberfläche vorkommen. Sehr lange, spezialisierte Kinozilien, wie das 50 Mikrometer lange Schwanzstück der Spermien, werden als Flagellen oder Geißeln bezeichnet. Zilien und Flagellen besitzen ein einheitlich organisiertes Mikrotubulussystem (Axonema), das aus einer ringförmigen (zylinderförmigen) Anordnung von neun Mikrotubulusdoubletten und zwei im Zentrum gelegenen Einzeltubuli besteht.

Lamina propria mucosae, Trachea

untere Schicht der Tunica mucosa der Trachea aus lockerem Bindegewebe mit elatischen Netzen, die sich zu einer dichten Schicht, der Lamina fibrarum elasticarum, zusammenschließen. Sie enthält die seromukösen Glandulae tracheales.

Tunica mucosa, Trachea

Schleimhautschicht der Trachea; setzt sich aus der Lamina epithelialis und der Lamina propria zusammen. Die Lamina epithelialis besteht aus respiratorischem Epithel und enthält die schleimbildenden Becherzellen, die Lamina propria besteht aus lockerem Bindegewebe und enthält die seromukösen Glandulae tracheales.

Tunica fibromusculocartilaginea

Dieses "Skelett" der Trachea enthält als charakteristische Bestandteile 16-20 hufeisenförmige Knorpelspangen (Cartilagines tracheales) aus hyalinem Knorpel, die durch Ligamenta anularia (Kollagenfasergeflechte) und elastische Geflechte, die in das Perichondrium einstrahlen, verbunden sind. Der glatte M.trachealis, im Paries membranaceus gelegen, verbindet dorsalwärts die freien Enden der Knorpelspangen.

Hyaliner Knorpel

makroskopisch bläulich- milchglasartig, kommt im Gelenkknorpel, am Ansatz der Rippen am Brustbein, in den Wachstumsfugen und in Trachea und großen Bronchien vor. Kollagen vom Typ II ist im hyalinen Knorpel vorherrschend. Die Kollagenfasern sind jedoch durch die Grundsubstanz maskiert und mit histologischen Routinefärbungen nicht darzustellen, sie sind jedoch mit dem Elektronenmikroskop sowie polarisationsmikroskopisch nachweisbar. Bei degenerativen Veränderungen können die Kollagenfasern "demaskiert" werden (sog. Asbestfaserung).

Tunica adventitia

besteht aus lockerem Bindegewebe und baut Organe, Arterien und Venen in die Umgebung ein. Im Verdauungstrakt findet sich eine Tunica adventitia in den Abschnitten, die nicht von einer Tunica serosa überzogen sind, also sekundär retroperitoneal oder extraperitoneal liegen.

Tunica adventitia, Trachea

aus lockerem Bindegewebe, baut die Trachea in das Mediastinum ein und ermöglicht funktionsbedingte Verschiebungen der Trachea.

Lockeres Bindegewebe

Als interstitielles Bindegewebe begleitet es Nerven und Gefäße in Organe hinein und bildet als Stroma die Verbindung zwischen den spezifischen Gewebsanteilen der Organe. Es dient als Wasserspeicher und Verschiebeschicht und hat außerdem große Bedeutung in der Abwehr und bei Regenerationsvorgängen. In den weiten Interzellularräumen finden sich Bündel von leicht gewellten Kollagenfasern im Verband mit spärlichen elastischen Netzen (in histologischen Routinefärbungen nicht dargestellt).

Das respiratorische Epithel der luftführenden Atemwege ist mehrreihig. Die charakteristischen Zellen sind die Kinozilien tragenden hochprismatische Zellen der obersten Zellage. Dazwischen sind Becherzellen eingestreut. Das respiratorische Epithel liegt einer Lamina propria auf. An die Lamina propria der Tunica mucosa schließt sich die Tunica fibromusculocartilaginea an, die aus teilweise recht straff organisiertem kollagenen Bindegewebe, Zügen glatter Muskulatur und Spangen aus hyalinem Knorpel besteht. Nach außen grenzt die Tunica adventitia mit allen Merkmalen eines lockeren Bindegewebes. In der Tunica adventitia, aber auch in den anderen Bindegewebsformationen des Organes, finden sich vielerorts dichte Ansammlungen lymphatischer Zellen.