Voriges Präparat Index Nächstes Präparat   [a] [b] [c]
 

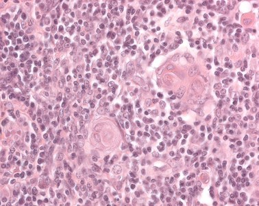
Präparat 37: Thymus (fetaler Mensch), H.-E.

[Bild]
Kollagenfasern

lassen sich mit histologischen Routinefärbungen im Lichtmikroskop darstellen. Sie setzen sich aus parallel angeordneten Kollagenfibrillen zusammen, die nur im Elektronenmikroskop erkennbar sind. Vorstufen des Kollagens (Prokollagen) werden von Fibroblasten synthetisiert und über Exozytose sezerniert. Die Bildung der Kollagenfibrillen erfolgt erst extrazellulär durch Abspaltung von Propeptiden und anschließender Quervernetzung. Kollagenfasern sind Bestandteil der Extrazellulärmatrix, ihre Anzahl und Anordnung bestimmt die Beschaffenheit des Bindegebewebes: Straffes Bindegewebe (z. B. in der Sehne) enthält zahlreiche, parallel angeordnete Kollagenfasern. Im lockeren Bindegewebe sind die Kollagenfasern weniger dicht und haben keine Vorzugsrichtung.

Lymphozyten

gehören zu den Leukozyten. Morphologisch können kleine und große Lymphozyten unterschieden werden. Die kleinen Lymphozyten (Durchmesser von 6-8 µm) weisen einen runden, intensiv angefärbten Zellkern auf, der von einem sehr schmalen Zytoplasmasaum umgeben ist. Funktionell und immunhistochemisch werden bei diesem Zelltyp der zellulären Immunität dienende T-Lymphozyten von antikörper-produzierenden B-Lymphozyten unterschieden. Die großen Lymphozyten haben einen Durchmesser von 8-12 µm; sie besitzen eine ovalen Zellkern. Die für T- oder B-Lymphozyten charakteristischen Oberflächenmoleküle fehlen meist, man bezeichnet sie daher auch als Non-T- bzw. Non-B-Zellen.

Epitheliale Retikulumzelle

dem epithelialen Anteil des Thymus zugehörige Zellen, die ein weitmaschiges Retikulum verzweigter Zellen bilden, die mit ihren langen Fortsätzen durch Desmosomen in Kontakt stehen. Charakteristisch sind die großen chromatinarmen Zellkerne.

Eine sehr dünne und zarte Schicht von kollagenen Fasern umhüllt die einzelnen Läppchen. Die dunklere Rindenzone enthält dichtgepackte Lymphozyten mit runden, heterochromatischen Zellkernen; zwischen ihnen sind die weit weniger zahlreichen Zellkerne der epithelialen Retikulumzellen deutlich zu erkennen (größer, polygonaler, längsovaler als die Lymphozytenkerne, euchromatisch mit deutlichem Nukleolus). Das Mark der Läppchen enthält weniger dicht gepackte Lymphozyten, dazwischen ebenfalls epitheliale Retikulumzellen.

Die epithelialen Retikulumzellen des Thymus leiten sich ontogenetisch aus dem epithelialen Entoderm der 3. Schlundtasche des Vorderdarmes (Pharynx) ab. Sie werden auch als Thymusepithelzellen bezeichnet.