Voriges Präparat Index Nächstes Präparat   [a] [b] [c] [d]
 

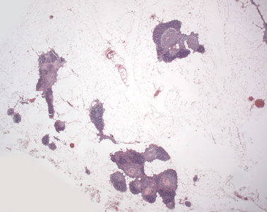
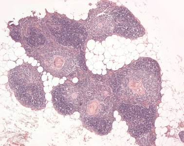
Präparat 13: Thymus (erwachsener Mensch), Gewebsschnitt, H.-E.

[Bild]
Thymus

lymphoepitheliales Organ des lymphatischen Systems, das im vorderen Mediastinum hinter dem Sternum liegt. Man unterscheidet eine zellreiche Rinde von dem zellarmen Mark, dieses enthält die charakteristischen und differentialdiagnostisch wichtigen Hassall-Körperchen. Der Thymus ist von grundlegender Bedeutung für Entwicklung und Differenzierung der T-Lymphozyten, und hat Einfluß auf Körperwachstum und Knochenstoffwechsel. Bis zur Pubertät nimmt er an Gewicht zu, danach bildet er sich zurück, sodaß lediglich der fettgewebshaltige Thymusrestkörper des Erwachsenen verbleibt.

Bindegewebe

Bindegewebe ist deutlich anders aufgebaut als Epithel. Im Epithelverband liegen die Zellen dicht an dicht, die Interzellularräume sind eng. Das Bindegewebe enthält weniger Zellen und große Interzellularräume. Die ortsständigen Zellen im Bindegewebe sind Fibroblasten/Fibrozyten. Außerdem kommen "freie" Zellen vor, die in das Bindegewebe einwandern oder es verlassen können und der Abwehr dienen. Die großen Interzellularräume des Bindegewebes enthalten Wasser und die extrazelluläre Matrix (amorphe Grundsubstanz und retikuläre, kollagene oder elastsiche Fasern), die von den ortsständigen Zellen gebildet wird. Bindegewebe ist im Körper weit verbreitet.

Lobulus

Läppchen, häufig werden Organe von aus der Kapsel einstrahlenden, mehr oder weniger derben Bindegewebszügen in Lappen und/oder Läppchen unterteilt.

Lymphozyten

gehören zu den Leukozyten. Morphologisch können kleine und große Lymphozyten unterschieden werden. Die kleinen Lymphozyten (Durchmesser von 6-8 µm) weisen einen runden, intensiv angefärbten Zellkern auf, der von einem sehr schmalen Zytoplasmasaum umgeben ist. Funktionell und immunhistochemisch werden bei diesem Zelltyp der zellulären Immunität dienende T-Lymphozyten von antikörper-produzierenden B-Lymphozyten unterschieden. Die großen Lymphozyten haben einen Durchmesser von 8-12 µm; sie besitzen eine ovalen Zellkern. Die für T- oder B-Lymphozyten charakteristischen Oberflächenmoleküle fehlen meist, man bezeichnet sie daher auch als Non-T- bzw. Non-B-Zellen.

Hassall-Körperchen

kugelige, azidophile Gebilde aus zwiebelschalenartig zusammengelagerten Epithelzellen im Mark des Thymus. In ihrem Inneren befindet sich Detritus aus abgestorbenen Zellen.

Involution

Rückbildung

Vakatfett

Fettgewebe, das als Ersatz für atrophiertes oder involuiertes Parenchym dient

Univakuoläres Fettgewebe

weißes Fettgewebe; als Energiespeicher und Baufett dienendes Gewebe. Die Zellen enthalten je einen großen membranlosen Fetttropfen, der Kern und Zytoplasma an den Rand drängt. Hierdurch kommt die charakteristische Siegelringform nach Herauslösen des Fettes durch die Präparation zustande. An ihrer Oberfläche werden die Zellen von einer Basallamina mit retikulären Fasern umgeben, durch Bindegewebe werden sie zu Fettgewebsläppchen zusammengefaßt.

Nach der Pubertät fällt der Thymus der Involution anheim. Dabei tritt vermehrt Fettgewebe an die Stelle des Grundgewebes (Vakatfett), das alle Merkmale des univakuolären Fettgewebes besitzt (s. auch Präparat 11). Vor allem die Rinde des Thymus wird durch dies Fettgewebe ersetzt, so dass von dem ehemaligen umkapselten, zusammenhängenden Organ (siehe vorangehendes Präparat) nur noch einzelne lymphatische „Inseln“ in einem „Meer“ von Fettgewebe erhalten bleiben.