Voriges Präparat Index Nächstes Präparat   [a] [b] [c]
 

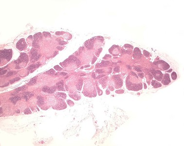
Präparat 37: Thymus (fetaler Mensch), H.-E.

[Bild]
Thymus

lymphoepitheliales Organ des lymphatischen Systems, das im vorderen Mediastinum hinter dem Sternum liegt. Man unterscheidet eine zellreiche Rinde von dem zellarmen Mark, dieses enthält die charakteristischen und differentialdiagnostisch wichtigen Hassall-Körperchen. Der Thymus ist von grundlegender Bedeutung für Entwicklung und Differenzierung der T-Lymphozyten, und hat Einfluß auf Körperwachstum und Knochenstoffwechsel. Bis zur Pubertät nimmt er an Gewicht zu, danach bildet er sich zurück, sodaß lediglich der fettgewebshaltige Thymusrestkörper des Erwachsenen verbleibt.

Mediastinum

Raum zwischen den beiden Pleurahöhlen, der sich von den Körpern der Brustwirbel bis zum Brustbein erstreckt und nach beiden Seiten von den Pleurae mediastinales begrenzt wird. Kaudal endet er am Zwerchfell, während er durch die obere Thoraxapertur mit dem Bindegewebsraum des Halses in direktem Zusammenhang steht.

Lymphoepithelial

lymphatische Organe, die sich in enger Verbindung zu Epithelien (ektodermal) entwickeln, werden als lymphoepitheliale Organe bezeichnet. Aus den Schlundtaschen bilden sich die Tonsillen oder der Thymus. Das Stroma dieser Organe wird von epitheliale Retikulumzellen gebildet.

Lymphozyten

gehören zu den Leukozyten. Morphologisch können kleine und große Lymphozyten unterschieden werden. Die kleinen Lymphozyten (Durchmesser von 6-8 µm) weisen einen runden, intensiv angefärbten Zellkern auf, der von einem sehr schmalen Zytoplasmasaum umgeben ist. Funktionell und immunhistochemisch werden bei diesem Zelltyp der zellulären Immunität dienende T-Lymphozyten von antikörper-produzierenden B-Lymphozyten unterschieden. Die großen Lymphozyten haben einen Durchmesser von 8-12 µm; sie besitzen eine ovalen Zellkern. Die für T- oder B-Lymphozyten charakteristischen Oberflächenmoleküle fehlen meist, man bezeichnet sie daher auch als Non-T- bzw. Non-B-Zellen.

Lobulus

Läppchen, häufig werden Organe von aus der Kapsel einstrahlenden, mehr oder weniger derben Bindegewebszügen in Lappen und/oder Läppchen unterteilt.

Hassall-Körperchen

kugelige, azidophile Gebilde aus zwiebelschalenartig zusammengelagerten Epithelzellen im Mark des Thymus. In ihrem Inneren befindet sich Detritus aus abgestorbenen Zellen.

Der Thymus ist ein primäres lymphatisches Organ und liegt im oberen Mediastinum retrosternal (hinter dem Brustbein). Man rechnet ihn zu den lymphoepithelialen Organen, da die Zellen seines Grundgerüsts aus dem Epithel der 3. und 4. Schlundtasche stammen. Im Grundgerüst des Thymus liegen viele Lymphozyten. Sie entwickeln sich aus Vorläuferzellen der T-Lymphozyten, die im Knochenmark entstehen und über die Blutgefäße in den Thymus gelangen.

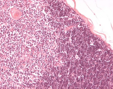
Der Thymus wird von einer bindegewebigen Kapsel umgeben, von welcher aus Bindegewebszüge in die Tiefe des Organs ziehen. Hierdurch entsteht eine charakteristische Läppchengliederung des Thymus. Im Thymus wird eine zellreiche Rinde (Cortex, hier blau gefärbt) mit dicht gelagerten Lymphozyten von einem zellärmeren Mark (Medulla, hier rötlich gefärbt) unterschieden. Ein charakteristisches Merkmal sind die sog. Hassall-Körperchen, die sich im Mark finden. Es handelt sich um zwiebelschalenartig angeordnete Epithelzellen, im Zentrum der Hassall-Körperchen findet sich häufig amorphes, mit Eosin intensiv färbbares Material, Reste der untergegangenen Zellen.