Voriges Präparat Index Nächstes Präparat   [a] [b] [c]
 

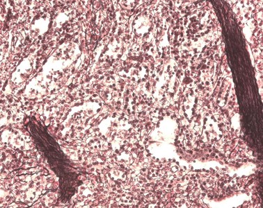
Präparat 34: Milz, Versilberung und Kernfärbung

[Bild]
Retikuläre Fasern

argyrophile Fasern; Gitterfasern; kommen im retikulären Bindegewebe und im lockeren Bindegewebe vor. Sie bilden Fasergerüste z.B. in den hämatopoetischen Organen und im Stroma zahlreicher parenchymatöser Organe. Außerdem sind sie Bestandteil von Endoneurium und Endomysium und haben maßgeblich Anteil am Aufbau von Basallaminae. Sie sind lichtmikroskopisch nur durch Spezialfärbungen (Versilberung) eindeutig darzustellen, werden deshalb auch als argyrophile Fasern bezeichnet. Sie bestehen aus dünnen Bündeln von Kollagenfibrillen (Kollagen Typ III) und bilden Netze oder Gitter (daher auch die Bezeichnung "Gitterfaser".

Milz

Organ des lymphatischen Systems, außerdem ist sie beteiligt an der Bildung von Lymphozyten und dem Abbau von Erythrozyten. Die Milz liegt in der linken Regio hypochondriaca unter dem Zwerchfell in Höhe der 9.-11. Rippe.

Milzsinus

Netzwerk aus verschieden langen und breiten, untereinander kommunizierenden Röhrchen, deren Wände von langgestreckten Endothelzellen gebildet werden. Durch aktiven Formwandel der Zellen können Öffnungen in der Sinuswand entstehen, sodaß Blutplasma und Blutzellen ins Milzretikulum gelangen können. Ca. 10% des die Milz durchströmenden Blutes erreicht so das perisinusoide Gewebe, 90% wird direkt in das venöse System geleitet.

Bei stärkerer Vergrößerung erhält man einen guten Eindruck vom verzweigten, feinen Maschenwerk der Retikulinfasern, zwischen denen gegengefärbte Zellkerne liegen. Die Retikulinfasern durchsetzen die gesamte Milz, nur die Lumina der Blutgefäße und der Milzsinus bleiben von ihnen frei. Der weitere mikroskopische Aufbau der Milz läßt sich am Präparat 35 besser studieren.