Voriges Präparat Index Nächstes Präparat   [a] [b] [c] [d]
 

Präparat 99: Augenlid, H.-E.

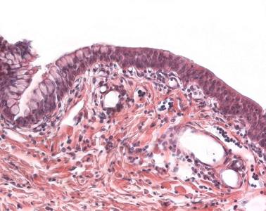
[Bild]
Cilien

(Wimpern), leicht verdickte Haare, die in 2-3 Reihen an der vorderen Lidkante (Limbus palpebrae anterior) angeordnet sind und am medialen Augenwinkel fehlen. Sie sind mit holokrinen Gll.sebaceae (Zeis-Drüsen) und die apokrinen Gll.ciliares (Moll-Drüsen) assoziiert.

Zeis-Drüsen

Gll.sebaceae; holokrine Drüsen des Lids, die in die Haarbälge der Wimpern münden.

Glandula tarsalis

(Meibomsche Drüsen) größte Drüsen der Augenlider; sie befinden sich im Flechtwerk des Bindegewebes der Lidplatten, sind nicht mit den Wimpern assoziiert und münden mit ihren Ausführungsgängen nah der hinteren Lidkante. Das durch holokrine Sekretion abgegebene Sekret enthält viele Lipide, die wesentlich dazu beitragen, dass die Tränenflüssigkeit nicht über den Lidrand läuft.

Lidkante

äußerer Lidbereich, in dem das mehrschichtig verhornte Plattenepithel, das das Lid von außen bedeckt, in das mehrschichtige iso-bis hochprismatische Epithel der Tunica conjunctiva übergeht.

Retentionszysten

Zysten, die durch Sekretverhaltung von Drüsen oder Drüsenabschnitten entstehen; im Bereich der Portio vaginalis können sie durch Überwachsen von Drüsen der Zervixschleimhaut mit Plattenepithel entstehen. Diese gelb-weißlichen Zysten werden als Ovula Nabothi bezeichnet.

Chalazia

(Hagelkörner) erbsengroße, an den Augenlidern lokalisierte Granulome, die durch Sekretstauung nach Verschluß der Ausführungsgänge, durch Entzündungen, Tumore oder spontan von den Glandulae tarsales (Meibom-Drüsen) ausgehen.

Die Wimpern (Cilien) an der Lidkante können quer oder längs getroffen sein. Die Talgdrüsen, die in die Haartrichter der Cilien einmünden, werden im Lid als Zeis-Drüsen bezeichnet, obwohl sie sich histologisch nicht von Talgdrüsen anderer Haare unterscheiden. Die Meibomschen Drüsen (Glandulae tarsales) hingegen sind holokrine Talgdrüsen, die nicht mit Haarwurzeln vergesellschaftet sind. Die Azini der Meibomschen Drüsen liegen nahe der Lidhinterseite in einer bindegewebigen Platte (dem Tarsus des Lids) und besitzen Ausführungsgänge, die von einem mehrschichtigen isoprismatischen Epithel ausgekleidet sind und an der hinteren Lidkante münden. In ihnen auftretende Retentionszysten und Entzündungen führen zu den Hagelkörnern (Chalazia).