Voriges Präparat Index Nächstes Präparat   [a] [b] [c]
 

Präparat 100: Lippe, H.-E.

[Bild]
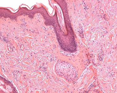
Mehrschichtiges verhorntes Plattenepithel

bildet die äußere Oberfläche der Haut. Zu differenzieren sind von basal (dem Bindegewebe zugewandt) nach apikal (der Oberfläche zugewandt) folgende Schichten: Stratum basale, Stratum spinosum, Stratum granulosum, Stratum lucidum und Stratum corneum. Stratum basale und Stratum spinosum dienen der Regeneration des Epithelverbandes und werden auch als Stratum germinativum zusammengefasst. Stratum granulosum und Stratum lucidum bilden die Verhornungsschicht. Das Stratum corneum ist die verhornte Schicht, hier haben die zellen ihre Zellkerne verloren und bilden Hornplatten.

Mehrschichtig unverhorntes Plattenepithel

Epithel innerer Körperoberflächen, die starken mechanischen Belastungen ausgesetzt sind, z.B. Mundhöhle, Ösophagus, Analkanals und Vagina. Es besteht aus mehreren Schichten, deren Zellen unterschiedliche Formen besitzen: Die Zellen des Stratum basale sind hochprismatisch, relativ klein und dicht gepackt, die Zellen des Stratum spinosum sind polygonal geformt und besitzen stachelig erscheinende Ausläufer (daher der Begriff „Stachelzellschicht“. Die Basalzellschicht und die „Stachelzellschicht bilden zusammen die Proliferationszellschicht. Von der Basalzellschicht aus wandern die Zellen an die Oberfläche und verändern dabei ihre Form. Die Zellen der Superfzialschicht sind abgeplattet (daher Plattenepithel). Die Zellkerne sind gut erhalten und bis in die obersten Zellschichten zu erkennen. Das Plattenepithel ist durch Bindegewebspapillen eng mit der Lamina propria verzahnt.

Glandulae sebacae pilorum

(Talgdrüsen) an Haarbälge gebundene, beeren- oder knollenförmige, mehrlappige Einzeldrüsen aus mehrschichtigem Epithel mit einer Größe von ca.1 mm. In der Drüsenperipherie kommt es durch zahlreiche Mitosen zur ständigen Neubildung von Sebozyten, sie gelangen zum Drüsenzentrum und wandeln sich hier und zum Haarschaft hin in Talg um. Es kommt zur holokrinen Sekretion. Ihr Sekret, der Haartalg, Sebum, macht Haut und Haare geschmeidig.

Subkutis

Unterhaut, Tela subcutanea; besteht aus lockerem Bindegewebe und univakuolärem Fettgewebe. Sie stellt die Verbindung zwischen Haut und oberflächlicher Körperfaszie her und gewährleistet die Verschieblichkeit der Haut. Die Subcutis enthält Vater-Pacinische Lamellenkörperchen.

Glandulae sudoriferae eccrinae

Schweißdrüsen, kommen in unterschiedlicher Dichte in nahezu allen Hautgebieten vor, sind tubulöse unverzweigte Drüsen, die bis an die Grenze von Dermis und Subkutis reichen. Die Enden sind zu einem Knäuel aufgewickelt, hier ist das Epithel einschichtig isoprismatisch. Sie weisen ein enges Lumen und Myopithelzellen auf, die sich zwischen Basallamina und Drüsenzellen befinden. Die Endstücke bestehen aus dunklen Zellen mit einem ekkrinen Sekretionsmodus und hellen Zellen mit stark gefalteter Zellmembran. Die Ausführungsgänge sind von zweischichtigem isoprismatischen Epithel ausgekleidet. Der in der Epidermis verlaufende Teil der Ausführungsgänge ist korkenzieherartig geschlängelt und weist keine eigenen Wandzellen auf. Das saure Sekret der Schweißdrüsen (pH 4,5) stellt ein Ultrafiltrat des Blutes dar, es hemmt das Bakterienwachstum, bildet auf der Haut einen Säureschutzmantel und dient durch Verdunsten der Wäremregulation.

Bereits in der Übersicht erkennt man die mit Epithelgewebe überzogenen natürlichen Oberflächen. Die Außen- (Gesichts-)seite der Lippe ist an den Anschnitten von Haaren zu erkennen; die Innen- (Mundhöhlen-) seite trägt keine Haare. Das Bindegewebe unter den Epithelien ist relativ derb, das Innere der Lippe wird von Muskelfeldern beherrscht. Das mehrschichtig verhornte Plattenepithel der Gesichtshaut geht mundwärts fließend in ein mehrschichtig unverhorntes Plattenepithel über. Auf der Gesichtsseite sind Anschnitte von Haaren, die mit ihrem Bulbus in die Tela subcutanea reichen, mit den dazugehörigen holokrinen Talgdrüsen zu finden. Außerdem findet man im Subkutis Drüsenschläuche merokriner Schweißdrüsen.