Voriges Präparat Index Nächstes Präparat   [a] [b] [c] [d]
 

Präparat 52: Ösophagus / Kardia, H.-E.

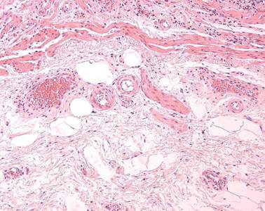
[Bild]
Mehrschichtig unverhorntes Plattenepithel

Epithel innerer Körperoberflächen, die starken mechanischen Belastungen ausgesetzt sind, z.B. Mundhöhle, Ösophagus, Analkanals und Vagina. Es besteht aus mehreren Schichten, deren Zellen unterschiedliche Formen besitzen: Die Zellen des Stratum basale sind hochprismatisch, relativ klein und dicht gepackt, die Zellen des Stratum spinosum sind polygonal geformt und besitzen stachelig erscheinende Ausläufer (daher der Begriff „Stachelzellschicht“. Die Basalzellschicht und die „Stachelzellschicht bilden zusammen die Proliferationszellschicht. Von der Basalzellschicht aus wandern die Zellen an die Oberfläche und verändern dabei ihre Form. Die Zellen der Superfzialschicht sind abgeplattet (daher Plattenepithel). Die Zellkerne sind gut erhalten und bis in die obersten Zellschichten zu erkennen. Das Plattenepithel ist durch Bindegewebspapillen eng mit der Lamina propria verzahnt.

Ösophagus

Speiseröhre; Verbindung zwischen Pharynx und Magen in Form eines ca. 25 cm langen Muskelschlauches (innere Ring- und äußere Längsmuskelschicht), der innen mit Schleimhaut überzogen ist.

Lamina propria mucosae, Ösophagus

zwischen Lamina epithelialis und Lamina muscularis der Tunica mucosa gelegen, bildet die mittlere Schicht aus lockerem Bindegewebe, die besonders im unteren Ösophagusabschnitt ausgedehnte Venenplexus enthält. Die Lamina propria des Magens enthält die Magendrüsen und Zellen des Immunsystems sowie vereinzelt Lymphfollikel.

Einschichtiges hochprismatisches Epithel

Epithel an resorbierenden Oberflächen, dessen Zellen höher als breit sind. Die Zelloberflächen sind durch 1-2 µm hohe Zytoplasmaausstülpungen, Mikrovilli, vergrößert, die im Lichtmikroskop als Bürstensaum imponieren. Die Zellen sind häufig apikal durch Zonulae occludentes verbunden, welche die Interzellularspalten verschließen.

Kardia

Mageneingang (Ostium cardiacum, Kardia); hier setzt sich das Epithel der Pars abdominalis oesophagei scharf von dem der Pars cardiaca des Magens ab, diese stellt sich als 1-3 cm breiter, ringförmiger Schleimhautstreifen dar. Die Lamina epithelialis des Ösophagus besteht aus mehrschichtigem unverhornten Plattenepithel, während die Oberfläche der Schleimhaut aller Magenabschnitte von einem einschichtigen hochprismatischen Epithel ohne Bürstensaum gebildet wird.

Das mehrschichtige unverhornte Plattenepithel des Ösophagus ruht auf einer relativ dichten Lamina propria mucosae, die von kleinen, dunkelkernigen Lymphozyten durchsetzt ist. Magenwärts wird dieses Epithel übergangslos durch das einschichtige hochprismatische Epithel der Kardia-Region abgelöst.