Voriges Präparat Index Nächstes Präparat   [a] [b] [c] [d] [e]
 

Präparat 3: Ösophagus (Mensch), Querschnitt, H.-E.

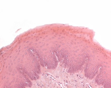
[Bild]
Lumen

lichte Weite von Hohlorganen und Blut- und Lymphgefäßen.

Mehrschichtig unverhorntes Plattenepithel

Epithel innerer Körperoberflächen, die starken mechanischen Belastungen ausgesetzt sind, z.B. Mundhöhle, Ösophagus, Analkanals und Vagina. Es besteht aus mehreren Schichten, deren Zellen unterschiedliche Formen besitzen: Die Zellen des Stratum basale sind hochprismatisch, relativ klein und dicht gepackt, die Zellen des Stratum spinosum sind polygonal geformt und besitzen stachelig erscheinende Ausläufer (daher der Begriff „Stachelzellschicht“. Die Basalzellschicht und die „Stachelzellschicht bilden zusammen die Proliferationszellschicht. Von der Basalzellschicht aus wandern die Zellen an die Oberfläche und verändern dabei ihre Form. Die Zellen der Superfzialschicht sind abgeplattet (daher Plattenepithel). Die Zellkerne sind gut erhalten und bis in die obersten Zellschichten zu erkennen. Das Plattenepithel ist durch Bindegewebspapillen eng mit der Lamina propria verzahnt.

Tunica mucosa, GIT

Die Schleimhautschicht des Verdauungsrohres ist aus drei Schichten aufgebaut: Lamina epithelialis: besteht je nach Anforderung des entsprechenden Teils des Verdauungstraktes aus verschiedenen Epithelien Lamina propria: Bindegewebsschicht Lamina muscularis: Schicht aus glatter Muskulatur

Tela submucosa, GIT

eine aus lockerem Bindegewebe aufgebaute Verschiebeschicht zwischen Tunica mucosa und Tunica muscularis. Sie enthält kleine Arterien, Venen, Lymphgefäßnetze sowie den Plexus submucosus.

Tunica muscularis, GIT

Muskelschicht des Darmrohres aus glatter Muskulatur; grundsätzlich ist sie aus dem Stratum circulare, einer inneren, ringförmig angeordneten Muskelschicht und dem Stratum longitudinale, einer äußeren, in Längsrichtung orientierten Muskelschicht aufgebaut. Zwischen den beiden Schichten findet sich der vegetative Plexus myentericus.

Tunica adventitia

besteht aus lockerem Bindegewebe und baut Organe, Arterien und Venen in die Umgebung ein. Im Verdauungstrakt findet sich eine Tunica adventitia in den Abschnitten, die nicht von einer Tunica serosa überzogen sind, also sekundär retroperitoneal oder extraperitoneal liegen.

Tunica adventitia, GIT

äußerste Schicht der Organe des Gastrointestinaltraktes. Sie besteht aus lockerem Bindegewebe und verankert die nicht von einer Serosa bedeckten Organe in ihrer Umgebung. Neben Fettzellen finden sich versorgende Blutgefäße und Nerven.

In der Übersicht zeigt sich ein rund-ovaler Querschnitt durch ein Hohlorgan mit einem sternförmigen Lumen. Das Lumen wird durch ein mehrschichtiges unverhorntes Plattenepithel begrenzt. Der Aufbau der Wandschichten ist charakteristisch für den gesamten Magen-Darm-Traktes, vom Lumen beginnend sind zu erkennen: Tunica mucosa, Tela submucosa, Tunica muscularis und nach außen abschließend die Tunica adventitia.