Voriges Präparat Index Nächstes Präparat   [a] [b] [c] [d]
 

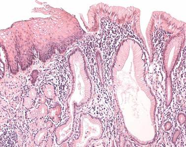
Präparat 52: Ösophagus / Kardia, H.-E.

[Bild]
Kardia

Mageneingang (Ostium cardiacum, Kardia); hier setzt sich das Epithel der Pars abdominalis oesophagei scharf von dem der Pars cardiaca des Magens ab, diese stellt sich als 1-3 cm breiter, ringförmiger Schleimhautstreifen dar. Die Lamina epithelialis des Ösophagus besteht aus mehrschichtigem unverhornten Plattenepithel, während die Oberfläche der Schleimhaut aller Magenabschnitte von einem einschichtigen hochprismatischen Epithel ohne Bürstensaum gebildet wird.

Lamina propria mucosae, Magen

mittlere Lage der Tunica mucosa des Magens, es handelt sich um eine bindegewebige Schicht , die die Magendrüsen beherbergt. In den Maschen des Bindegewebes finden sich Zellen des Immunsystems, vereinzelt treten basal Lymphfollikel mit Reaktionszentrum auf. Weiter enthält die Lamina propria ein Kapillarnetz, sowie Lymphgefäße und Nerven.

Foveolae gastricae

Magengrübchen, rundliche oder rinnenförmige Öffnungen, in denen die Magendrüsen münden. Sie finden sich zwischen den Plicae villosae.

Ösophagus

Speiseröhre; Verbindung zwischen Pharynx und Magen in Form eines ca. 25 cm langen Muskelschlauches (innere Ring- und äußere Längsmuskelschicht), der innen mit Schleimhaut überzogen ist.

Muköse Drüsenschläuche

zähflüssigen, enzymarmen Schleim bildende Drüsen mit weitem Lumen

Muköse Drüsenschläuche

zähflüssigen, enzymarmen Schleim bildende Drüsen mit weitem Lumen

Visköser Schleim

zähflüssiger Schleim, der z.B. von den mukösen Drüsen gebildet wird.

Visköser Schleim

zähflüssiger Schleim, der z.B. von den mukösen Drüsen gebildet wird.

Lamina muscularis mucosae, Ösophagus

dritte Schicht der Tunica mucosa, die die Grenze zur Tela submucosa darstellt. Von hier aus können einzelne oder Bündel glatter Muskelzellen in das Schleimhautbindegewebe einstrahlen und so das Relief der Magenoberfläche verändern

Lamina muscularis mucosae

Sie stellt die dritte Schicht der Tunica mucosa vom Lumen aus dar und besteht aus einer zirkulärschraubig angeordneten Schicht glatter Muskulatur. Für die Differentialdiagnose des Rumpfdarmes gegenüber anderen Hohlorganen ist diese Schicht besonders wichtig, da sie nur in diesem Abschnitt vorkommt. Sie dient der Steuerung der Schleimhautmotorik, einzelne Muskelzellen zweigen ins Zottenstroma ab und bewirken hier durch rhythmische Kontraktion die Zottenpumpe.

Tela submucosa, GIT

eine aus lockerem Bindegewebe aufgebaute Verschiebeschicht zwischen Tunica mucosa und Tunica muscularis. Sie enthält kleine Arterien, Venen, Lymphgefäßnetze sowie den Plexus submucosus.

An der inneren, luminalen Oberfläche dieses Wandabschnitts eines Hohlorgans findet man zwei verschiedene epitheliale Überzüge, die an einer Stelle übergangslos aneinanderstoßen: zur einen Seite hin ein dicker, mehrschichtiger Epithelverband (Ösophagus), zur anderen Seite hin ein dünneres, einschichtiges Epithel (Kardia-Region des Magens).

Das Epithel der Kardia senkt sich in die darunterliegende, ebenfalls lymphozytenreiche Lamina propria mucosae schlauchartig zu den sog. Foveolae gastricae ein. In der Lamina propria der Kardia und im Übergangsbereich zur Lamina propria des Ösophagus liegen muköse Drüsenschläuche (großes Lumen, Zellen mit hellem Zytoplasma, flachem, basal liegenden Kern). Diese sog. Glandulae cardiacae entleeren ihren viskösen Schleim in die Foveolae gastricae. Die glatten Muskelzellen der Lamina muscularis mucosae grenzen die Tunica mucosa gegenüber der Tela submucosa ab, diese Muskelschicht ist im Ösophagus kräftiger und kompakter als in der Kardia des Magens.