Voriges Präparat Index Nächstes Präparat   [a] [b] [c] [d] [e]
 

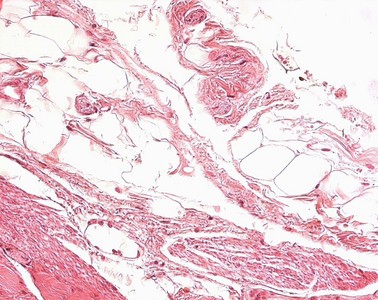
Präparat 3: Ösophagus (Mensch), Querschnitt, H.-E.

[Bild]
Tunica adventitia

besteht aus lockerem Bindegewebe und baut Organe, Arterien und Venen in die Umgebung ein. Im Verdauungstrakt findet sich eine Tunica adventitia in den Abschnitten, die nicht von einer Tunica serosa überzogen sind, also sekundär retroperitoneal oder extraperitoneal liegen.

Tunica adventitia, GIT

äußerste Schicht der Organe des Gastrointestinaltraktes. Sie besteht aus lockerem Bindegewebe und verankert die nicht von einer Serosa bedeckten Organe in ihrer Umgebung. Neben Fettzellen finden sich versorgende Blutgefäße und Nerven.

Bindegewebe

Bindegewebe ist deutlich anders aufgebaut als Epithel. Im Epithelverband liegen die Zellen dicht an dicht, die Interzellularräume sind eng. Das Bindegewebe enthält weniger Zellen und große Interzellularräume. Die ortsständigen Zellen im Bindegewebe sind Fibroblasten/Fibrozyten. Außerdem kommen "freie" Zellen vor, die in das Bindegewebe einwandern oder es verlassen können und der Abwehr dienen. Die großen Interzellularräume des Bindegewebes enthalten Wasser und die extrazelluläre Matrix (amorphe Grundsubstanz und retikuläre, kollagene oder elastsiche Fasern), die von den ortsständigen Zellen gebildet wird. Bindegewebe ist im Körper weit verbreitet.

Univakuoläre Fettzellen

Adipozyten; bilden das weiße Fettgewebe. Jede Fettzelle enthält einen einzigen großen membranlosen Fetttropfen. Wird das Gewebe für histologische Routineuntersuchungen in Paraffin eingebettet, löst sich das Fett aus diesem Tropfen und es entsteht eine einzige, große Fettvakuole. Zellkern und Zytoplasma werden durch den Fetttropfen an den Zellrand gedrängt, es entsteht das Bild der Siegelringform der Fettzelle.

Die Tunica adventitia verankert die Speiseröhre in ihrer Umgebung. Sie besteht aus lockerem Bindegewebe, in ihr sind univakuoläre Fettzellen eingelagert.