Voriges Präparat Index Nächstes Präparat   [a] [b] [c] [d] [e]
 

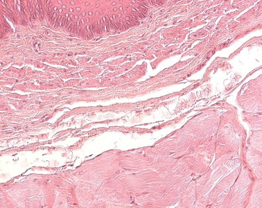
Präparat 3: Ösophagus (Mensch), Querschnitt, H.-E.

[Bild]
Lamina propria mucosae, Ösophagus

zwischen Lamina epithelialis und Lamina muscularis der Tunica mucosa gelegen, bildet die mittlere Schicht aus lockerem Bindegewebe, die besonders im unteren Ösophagusabschnitt ausgedehnte Venenplexus enthält. Die Lamina propria des Magens enthält die Magendrüsen und Zellen des Immunsystems sowie vereinzelt Lymphfollikel.

Lamina muscularis mucosae, Ösophagus

dritte Schicht der Tunica mucosa, die die Grenze zur Tela submucosa darstellt. Von hier aus können einzelne oder Bündel glatter Muskelzellen in das Schleimhautbindegewebe einstrahlen und so das Relief der Magenoberfläche verändern

Lymphozyten

gehören zu den Leukozyten. Morphologisch können kleine und große Lymphozyten unterschieden werden. Die kleinen Lymphozyten (Durchmesser von 6-8 µm) weisen einen runden, intensiv angefärbten Zellkern auf, der von einem sehr schmalen Zytoplasmasaum umgeben ist. Funktionell und immunhistochemisch werden bei diesem Zelltyp der zellulären Immunität dienende T-Lymphozyten von antikörper-produzierenden B-Lymphozyten unterschieden. Die großen Lymphozyten haben einen Durchmesser von 8-12 µm; sie besitzen eine ovalen Zellkern. Die für T- oder B-Lymphozyten charakteristischen Oberflächenmoleküle fehlen meist, man bezeichnet sie daher auch als Non-T- bzw. Non-B-Zellen.

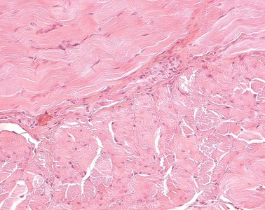
Plexus submucosus

Meissner-Plexus; ist Bestandteil des intrinsischen intramuralen Nervensystems. Er liegt in der Tela submucosa und innerviert Drüsen und die Lamina muscularis mucosae. Zusammen mit dem Plexus myentericus bildet er das enterische Nervensystem (ENS) des Magen-Darm-Trakts. Das intrinsische Nervensystem steht zwar unter dem Einfluß des vegetativen Nervensystems, ist jedoch auch nach einer Trennung von diesem in der Lage, die Darmmotorik aufrechtzuerhalten.

Glandulae oesophageae

in der Tela submucosa des Ösophagus gelegene muköse Drüsen, die Gleitschleim produzieren, der über Ausführungsgänge an die Epitheloberfläche gelangt.

An die Lamina propria mucosae schließt sich die Lamina muscularis mucosae aus glatter Muskulatur an. Nach außen folgt die Tela submucosa (oder einfach nur "Submukosa" genannt). Diese stellt eine Verschiebeschicht aus lockerem Bindegewebe dar. In ihr findet man Lymphozyten, Blutgefäße (Kapillaren, Venolen, Arteriolen), Nerven (Plexus submucosus) und die Glandulae oesophageae, die ein muköses Sekret absondern.