Voriges Präparat Index Nächstes Präparat   [a] [b] [c] [d]
 

Präparat 44: Glandula sublingualis, Azan

[Bild]
Von Ebner-Halbmonde

Semilunare serosae; seröse Endstücke; seröse Drüsenzellen in gemischten Drüsen, die den mukösen Endstücken kappenförmig aufsitzen.

Von Ebner-Halbmonde

Semilunare serosae; seröse Endstücke; seröse Drüsenzellen in gemischten Drüsen, die den mukösen Endstücken kappenförmig aufsitzen.

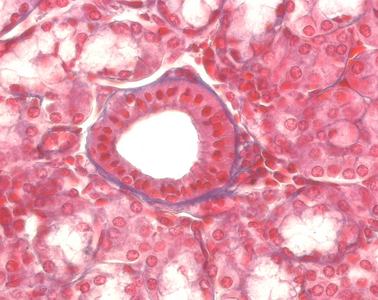
Schaltstücke

Abschnitt des Ausführungsgangsystems einer exokrinen Drüse, der das Sekret aus den Endstücken der Azini befördert; die englumigen Schaltstücke sind meist kurz und von plattem bis isoprismatischem Epithel ausgekleidet.

Muköse sekretorische Drüsen

zähflüssigen, enzymarmen Schleim bildende Drüsen mit relativ weitem Lumen. Die Zellkerne der Endstückzellen liegen basal und sind abgeplattet, apikal findet sich muzinhaltiger Schleim.

Muköser Tubulus

Endstück einer mukösen Drüse; die Zellen weisen ein wabig aussehendes Zytoplasma auf, ihre Zellkerne sind abgeplattet und liegen basal, während sich apikal der muzinhaltige Schleim befindet. Das Lumen der mukösen Tubuli ist meist relativ weit. Am Ende der mukösen Tubuli liegen seröse Zellen, die eine Endkappe bilden.

Streifenstücke

Sekret-, Speichelrohr, Abschnitt des Ausführungsgangsystems der Mundspeicheldrüsen (Gl. parotidea, Gl. submandibularis, Gl. sublingualis). Sie zeigen eine charakteristische basale Streifung, die auf (nur elektronenmikroskopisch erkennbaren!) Einfaltungen der basalen Zellmembran und zahlreiche, pallisadenförmig angeordnete Mitochondrien zurückzuführen ist. Streifenstücke besitzen ein einschichtiges iso- bis hochprismatisches Epithel und liegen innerhalb der Drüsenläppchen. In ihnen findet wird die Sekretzusammensetzung durch aktive Prozesse verändert.

Vereinzelt findet man kleine Inseln von gänzlich serösen Azini, die aus demselben Zelltyp wie die von Ebner-Halbmonde aufgebaut sind. Typische Schaltstücke (Definition und Aussehen wie in Präp. 42) kommen zwar vor, sind aber relativ selten. Die meisten Schaltstücke muköser Drüsen werden nämlich zu den mukösen Tubuli umgewandelt (sog. "Verschleimung" der Schaltstücke). Streifenstücke kommen vor (Beschreibung bei Präp. 42).